Vierter Ventrikel
Zuletzt bearbeitet von Alaric Steinmetz am
Synonyme: IV. Ventrikel, Fourth ventricle
ICD-11: XA1804
Der vierte Ventrikel ist Teil des Ventrikelsystems und befindet sich im Rhombencephalon.
Anatomie
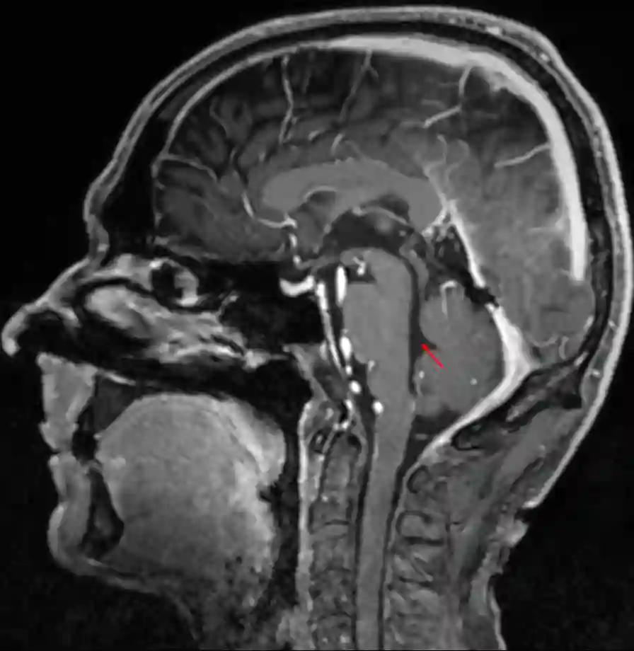
Der vierte Ventrikel erhält über den Aquaeductus mesencephali Liquorzufluss aus dem dritten Ventrikel und steht so mit diesem in Verbindung. Der Boden des vierten Ventrikels bildet die Fossa rhomboidea. Nach beiden Seiten verläuft ein langer Recessus lateralis, an dessen Ende sich jeweils die Apertura lateralis (Foramen Luschkae) befindet und mit dem äußeren Liquorraum in Verbindung steht. Den aus der Apertura lateralis in den Subarachnoidalraum heraustretenden Plexus choroideus bezeichnet man als Bochdalek Blumenkörbchen. Des Weiteren findet sich ein Plexus choroideus am Dach des vierten Ventrikels am Velum medullare inferius. Median liegt die Apertura mediana (Foramen Magendi), welche ebenso mit dem äußeren Liquorraum in Verbindung steht. Der vierte Ventrikel setzt sich als Canalis centralis nach kaudal ins Rückenmark fort, welcher stellenweise obliteriert sein kann.
Blutversorgung
Die Blutversorgung des Plexus choroideus des vierten Ventrikels erfolgt über Äste der AICA, PICA und SCA[^1].
Klinische Relevanz
Im vierten Ventrikel können verschiedene Tumore lokalisiert sein. Medulloblastome gehen typischerweise vom Dach des vierten Ventrikels aus, wohingegen Ependymome häufig vom Boden des vierten Ventrikels ausgehen.
Eine Verlegung des Liquorabfluß im vierten Ventrikels kann zu einem Hydrocephalus führen.
Abbildung


Bildgebung
