Medulloblastom

Zuletzt bearbeitet von Alaric Steinmetz am

Synonyme: Medulloblastoma

Das Medulloblastom ist ein embryonaler Tumor des Kleinhirns. Es wird nach der WHO-Klassifikation der Tumoren des zentralen Nervensystems als Grad IV eingeordnet.

Epidemiologie

Er tritt bevorzugt im Kleinkindes- und Kindesalter auf und ist in dieser Altersgruppe der häufigste bösartige Hirntumor1.

Extrakraniale Metastasen

In bis zu 50% der Fälle kann es bei Medulloblastomen zu extrakraniellen spinalen Abtropfmetastasen kommen2. Diese zeigen sich typischerweise wie ein "Zuckerguss" auf der Dura und Nervenwurzeln.

Pathologie

Beim Medulloblastom gibt es aktuell vier relevante molekularpathologische Subtypen, welche kombiniert mit den histopathologischen Subtypen eine therapeutische und prognostische Relevanz haben3:

  • WNT-aktivierter Subtyp
  • Sonic Hedgehog (SHH)-aktivierter Subtyp
  • Gruppe 3 & 4

Lokalisation

Medulloblastome gehen häufig vom Dach des 4. Ventrikels aus4. Je nach molekulargenetischem Subtyp bestehen verschiedene Lokalisationsverteilungen5:

Molekulargenetischer Subtyp Bevorzugte Lokalisation
WNT-aktivierter Subtyp Bevorzugt cerebellärer Pedunkel / Zisterne am Cerebellopontinen Winkel
SHH-aktivierter Subtyp Bevorzugt in der Kleinhirnhemisphäre
Gruppe 3 & 4 Bevorzugt im vierten Ventrikel

Bildgebung

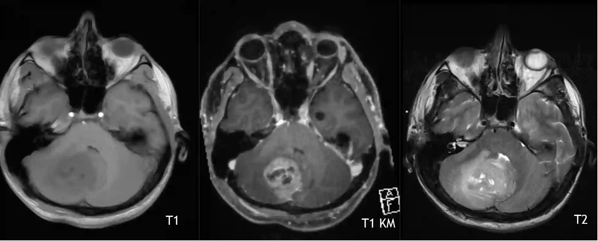
Medulloblastom im Cerebellum
Medulloblastom im Cerebellum in einer T1, T1 Kontrastmittel und T2 Sequenz im MRI.

Assoziierte genetische Syndrome

Das Auftreten von Medulloblastomen ist mit folgenden genetischen Syndromen assoziiert6:

  • Gorlin's Syndrom
  • Turcot Syndrom
  • Li-Fraumeni Syndrom
  • Rubinstein-Taybi Syndrom

Referenzen



    1. Warmuth-Metz, M., et al. "Differenzialdiagnose infratentorieller Hirntumoren bei Kindern." Der Radiologe 43.11 (2003): 977-985.    

    2. Rochkind, Semion, et al. "Extracranial metastases of medulloblastoma in adults: literature review." Journal of Neurology, Neurosurgery & Psychiatry 54.1 (1991): 80-86.    

    3. Neurosurgery Case Review: Questions and Answers. Remi Nader, Abdulrahman J Sabbagh. 2020 Thieme Verlage. ISBN 9781626231986        

    4. Differential Diagnosis. In: Greenberg M, ed. Handbook of Neurosurgery. 9th Edition. Thieme; 2019.    

    5. Perreault, S., et al. "MRI surrogates for molecular subgroups of medulloblastoma." American Journal of Neuroradiology 35.7 (2014): 1263-1269.