Hydrocephalus

Zuletzt bearbeitet von Alaric Steinmetz am

Als Hydrocephalus bezeichnet man ein Aufstau von Liquor cerebrospinalis und konsekutiver Erweiterung des Ventrikelsystems. Dies kann durch verschiedene Gründe verursacht werden. Grundlegend unterscheidet man zwischen einem Hydrocephalus occlusus und einem Hydrocephalus malresorptivus.

Bildgebung

Ein Hydrocephalus kann in einem CT oder MRT Bild dargestellt werden. Je nach Ätiologie kann ursächliche Stelle in einem Hydrocephalus occlusus nur in einem MRT dargestellt werden.

MRI eines Hydrocephalus
Axial T2 gewichtetetes MRI des Schädels mit Erweiterung der Seitenventrikeln.

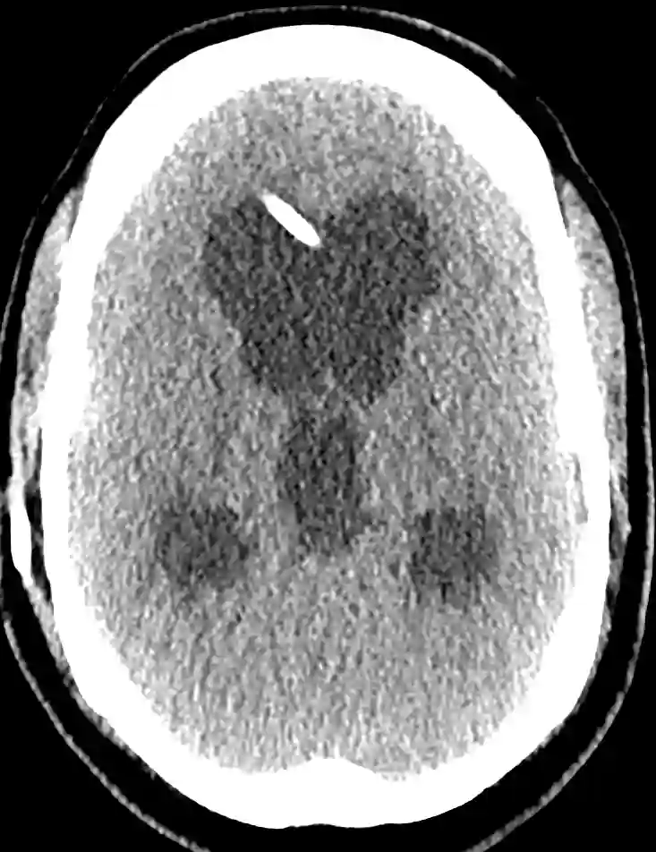
CT Shuntdysfunktion Hydrocephalus
Axiales CT Bild eines Patienten mit einem Hydrocephalus im Rahmen einer VP-Shunt Dysfunktion.