Foramen Magendii (Apertura mediana ventriculi quarti)

Zuletzt bearbeitet von Alaric Steinmetz am

Synonyme: Foramen Magendii, Apertura mediana, Foramen Magendie

Die Apertura mediana ventriculi quarti ist die kaudale median gelegene Öffnung des vierten Hirnventrikels.

Anatomie

Die Apertura mediana ventriculi quarti mündet in die Cisterna cerebellomedullaris des Subarachnoidalraumes. Das Foramen Magendii ermöglicht gemeinsam mit den beiden Foramen Luschkae die Kommunikation der Hirnventrikel mit dem Subarachnoidalraum.

Bildgebung

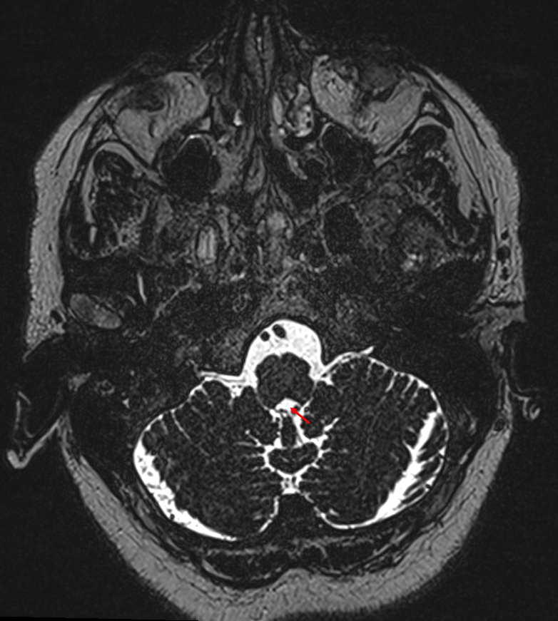
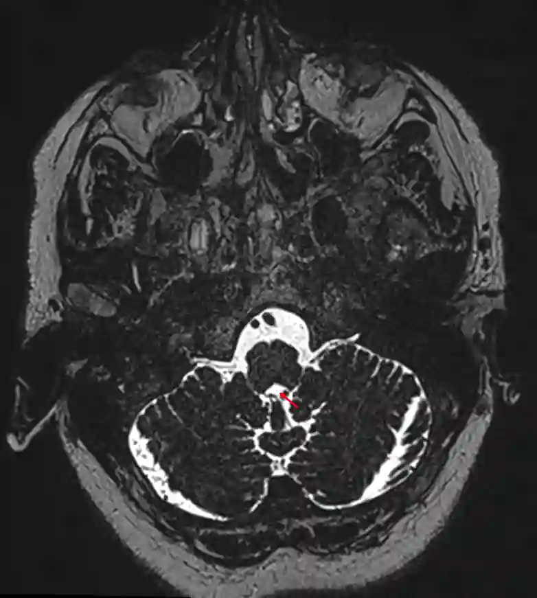
Foramen magendie im MRI
Axiale MRI CISS Sequenz mit Markierung des Foramen Magendii mit einem roten Pfeil.