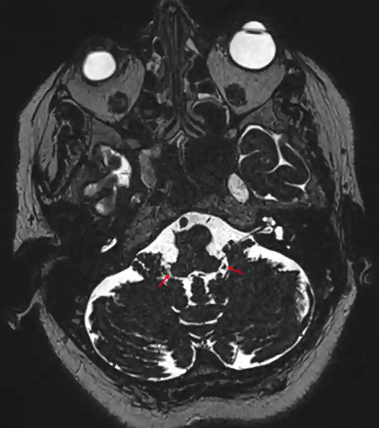
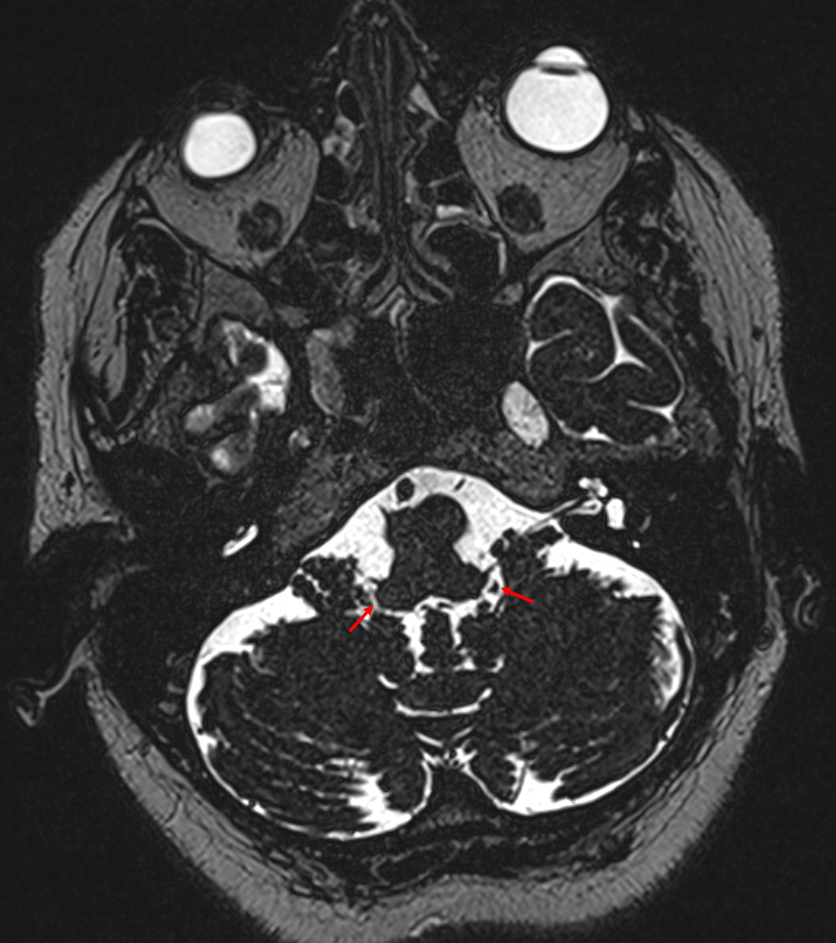
Foramen Luschkae (Apertura lateralis ventriculi quarti)

Zuletzt bearbeitet von Alaric Steinmetz am

Synonyme: Apertura lateralis ventriculi quarti

Die Aperturae laterales ventriculi quarti, im klinischen Alltag wird diese Struktur meistens als Foramen Luschkae bezeichnet, sind eine paarige Verbindung des inneren zum äußeren Liquorraumes.

Anatomie

Es handelt sich hierbei um zwei laterale Öffnungen des vierten Hirnventrikels in den Subarachnoidalraum. Die Aperturae laterales entspringen unterhalb der Pedunculi cerebellares inferiores.

Bildgebung

Foramen Luschkae im MRI
Markierung der Apertura lateralis ventriculi quarti (Foramen luschkae) in einer axialen MRI CISS Sequenz.