Ependymom (WHO Grad 2-3)
Zuletzt bearbeitet von Alaric Steinmetz am
Synonyme: Ependymoma
ICD-10: C71.7, C72.0
Ependymome sind meist langsam wachsende Tumoren des zentralen Nervensystems, die morphologisch Ähnlichkeiten mit den in dem Ventrikelsystem und den Rückenmarkskanal auskleidenden Ependymzellen haben.
Epidemiologie
Gemäß dem "Central Brain Tumor Registry of the United States" liegt die jährliche Inzidenz für ependymale Tumore bei etwa 0,43 Patienten je 100.000 Einwohner. Ependymome machen ca. 1,8 % aller primären ZNS Tumore aus und stellen etwa 6,8 % aller Gliome dar. In Kindern und Jugendlichen (0-19 Jahre) kommen ependymale Tumore proportional häufiger vor und sind für etwa 5,2 % aller primären ZNS Tumore verantwortlich. Das männliche Geschlecht ist häufiger betroffen als das weibliche Geschlecht (1,3:1)[^2]. Ependymome treten bevorzugt im Kinder- und Jugendalter auftreten, können Ependymome in jedem Lebensalter vorkommen[^1].
Klassifikation
Anhand der WHO CNS Klassifikation von 2021 werden supratentorielle und infratentorielle Ependymome in WHO Grad 2 oder 3 eingeteilt[^5].
Lokalisation
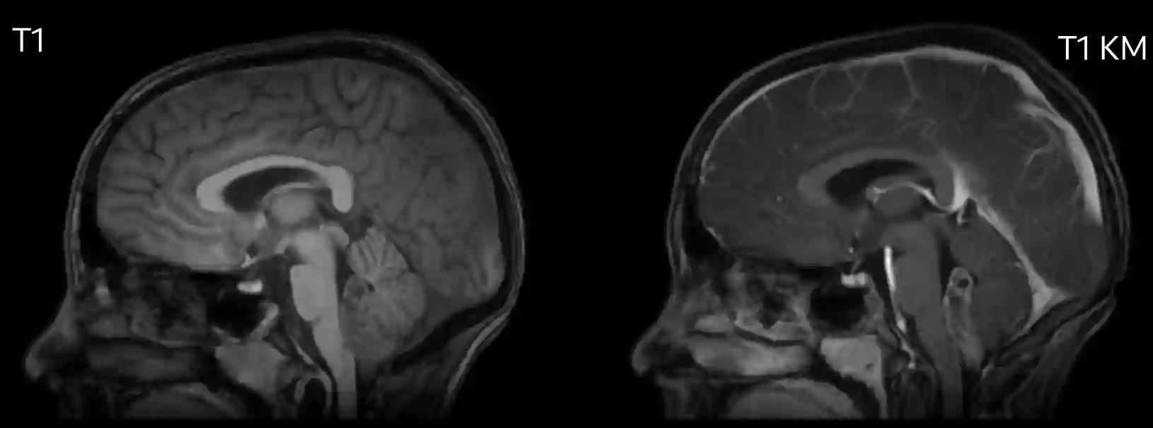
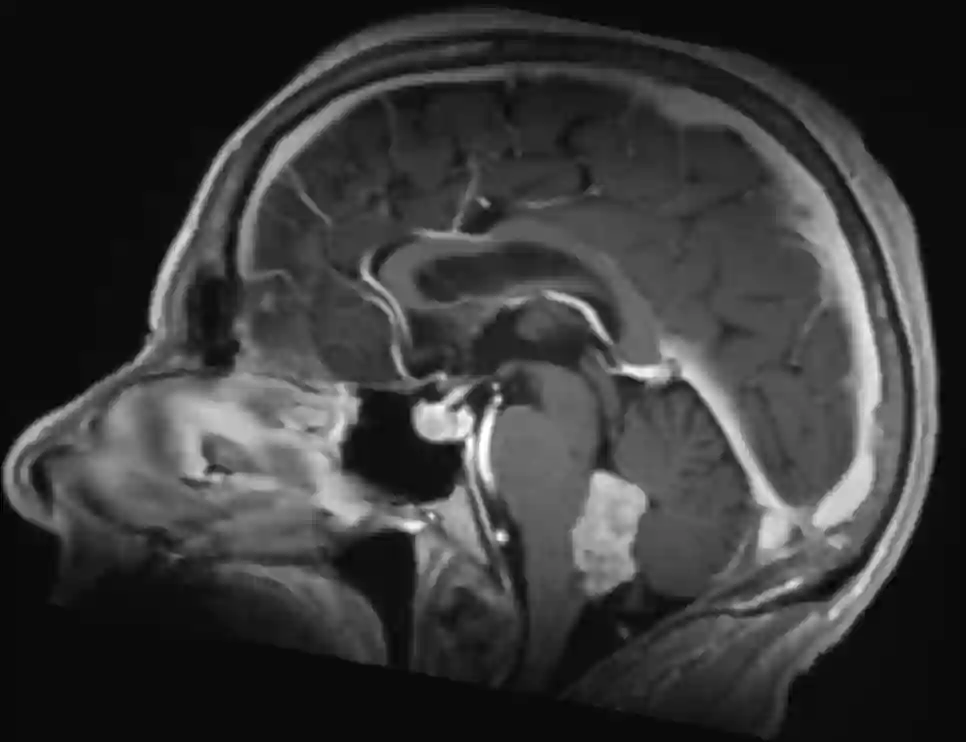
Zwei Drittel der Ependymome treten infratentoriell im 4. Ventrikel auf, das übrige Drittel liegt supratentoriell und zumeist in der periventrikulären weißen Substanz. Im Gegensatz zu einem Medulloblastom, welches häufig vom Dach des 4. Ventrikels ausgeht, breitet sich ein Ependymom oft vom Boden des 4. Ventrikels aus.
Bildgebung
Bildgebend unterscheiden sich Ependymome von Medulloblastomen vor allem durch die häufige Kalzifikation, welche bei Medulloblastomen nur in weniger als 10 % der Fälle vorkommt[^2]. Ebenso zeigen sich Ependymome häufig inhomogen in der T1 Sequenz und die exophytische Komponente zeigen sich bei Ependymomen oft hyperintenser in der T2 Sequenz[^2]. Ependymome können in der MRT Bildgebung eine Diffusionsrestriktion aufweisen, was jedoch bei Ependymomen deutlich seltener als bei Medulloblastomen vorkommt[^4].
Ein mögliches, aber nicht sicheres, Unterscheidungsmerkmal zwischen spinalen Ependymomen und Astrozytomen ist das Vorhandensein einer Syringohydromyelie bei Ependymomen, welche bei Astrozytomen nur sehr selten vorkommt[^7].


Intramedulläre Ependymome
Ependymome können entlang des gesamten Rückenmarks auftreten und sind die häufigsten Gliom des kaudalen Rückenmarks, Conus und Filum. Es handelt sich um langsam wachsende Tumore.


Operationsvideos
-
20236FOCVID2381.mp4 347.93 MB
- Video Beschreibung
- Operationsvideo einer Resektion eines intramedullären Ependymoms.
- Lizenz
- CC BY 4.0
Spinale Metastasen
Die Inzidenz von spinalen Metastasen bei der initialen Diagnose eines Ependymoms betragen etwa 5 %[^3].
Behandlungsrichtlinien
Die aktuellen Richtlinien und Behandlungsempfehlungen von Ependymomen können hier gefunden werden: EANO Guidelines.