Dritter Ventrikel

Zuletzt bearbeitet von Alaric Steinmetz am

Synonyme: Third ventricle, III Ventrikel, 3. Ventrikel, Ventriculus tertius cerebri

Der dritte Ventrikel (Ventriculus tertius cerebri) ist Teil des Ventrikelsystems und erhält Liquorzufluss aus den beiden Seitenventrikeln über das Foramen Monroi.

Anatomie

Der dritte Ventrikel wird von folgenden anatomischen Strukturen begrenzt:

Liquorfluss

Der Liquor fließt aus dem dritten Ventrikel weiter über den Aquädukt (Aqueductus mesencephali) in den vierten Ventrikel.

Abbildung

Dritter Ventrikel
Darstellung des drittel Ventrikels (rot eingefärbt) in einer anatomische Darstellung adaptiert von Grays Anatomy Figure 736.
Dritter Ventrikel Sagittal
Sagittaler Schnitt durch den dritten Ventrikel. Abbildung adaptiert von Albert Rhoton 2002 in Neurosurgery.
Dritter Ventrikel endoskopisch
Endoskopische Sicht in den dritten Ventrikel über einen supracerebellären infratentoriellen Zugang mit Darstellung der Adhaesio interthalamica, des Fornix und der Commissura Anterior. Abbildung adaptiert von Rhomberg T and Henry WSS. Microsurgical Resection of a Pineal Cyst via a Paramedian Supracerebellar Infratentorial Approach. World Neurosurgery 185 (2024): 113. DOI 10.1016/j.wneu.2024.02.049

Bildgebung

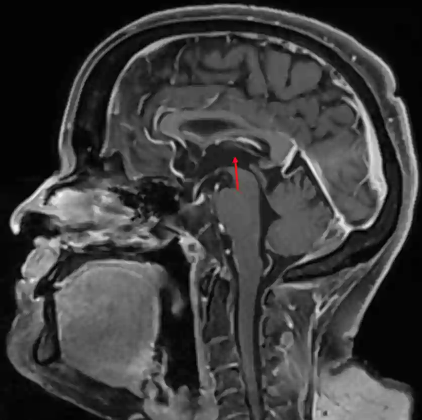
Dritter Ventrikel im MRI
Dritter Ventrikel in der Sagittalebene in einer T1 MRI Sequenz mit Kontrastmittel.
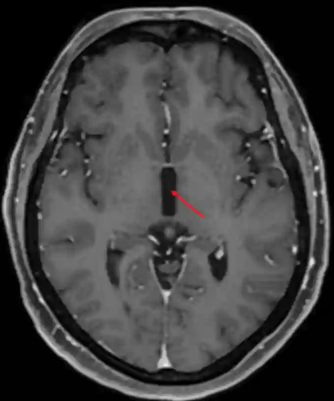
Dritter Ventrikel im axialen MRI
Dritter Ventrikel im axialen MRI in einer T1 Kontrastmittelsequenz.
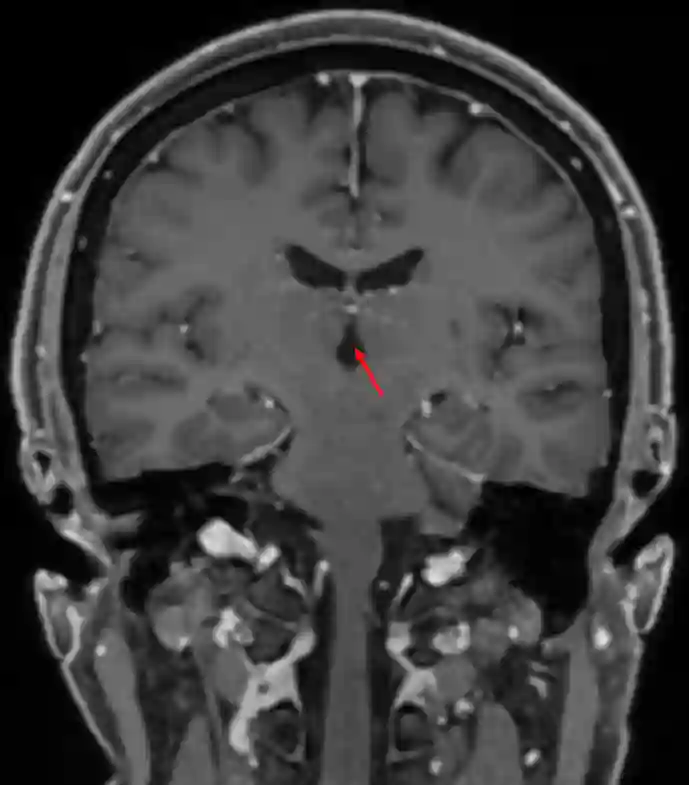
Dritter Ventrikel im MRI
Coronale T1 MRI Sequenz mit Kontrastmittel mit Darstellung des dritten Ventrikels.