Os occipitale
Zuletzt bearbeitet von Alaric Steinmetz am
Synonyme: Hinterhauptbein, Occipital bone
Das Os occipitale ein Schädelknochen und Teil des Neurokraniums.
Anatomie
Das Os occipitale grenzt nach kranial mit der Sutura lambdoidea an die beiden Ossa parietalia, seitlich an das Os temporale und inferior an das Os sphenoidale.
Das Os occipitale besteht aus mehreren anatomischen Abschnitten, die zusammen eine komplexe Struktur bilden[^1]:
Pars basilaris
Die Pars basilaris befindet sich ventral des Foramen magnum und neben der Pars petrosa des Os temporale. Ventral verschmilzt die Pars basilaris während der Pubertät mit dem Os sphenoidale (Os tribasilare) und bildet so den Clivus. Der Musculus constrictor pharyngis superior als auch die Raphe pharyngis sind am Tuberculum pharyngeum befestigt, das sich an der Unterseite der Pars basilaris befindet. Die Oberfläche der Pars basilaris ist glatt und weist auf der Innenseite die Clivus Region auf, die eine zentrale Rolle in der Schädelbasischirurgie spielt.
Pars lateralis
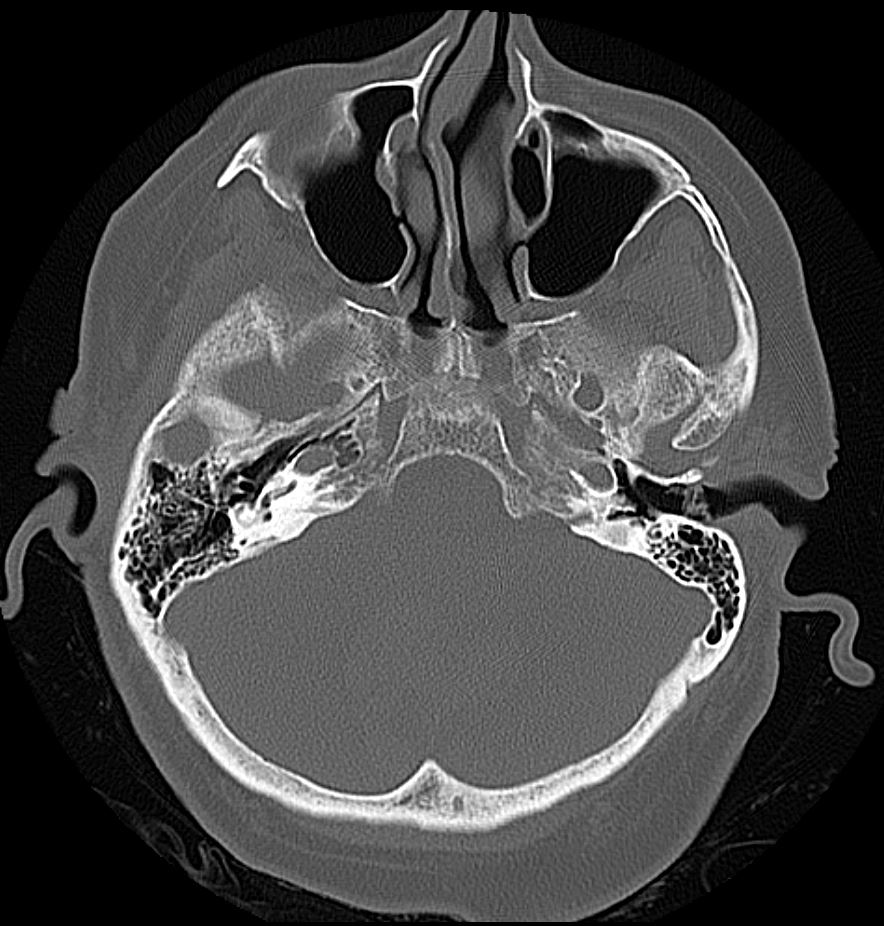
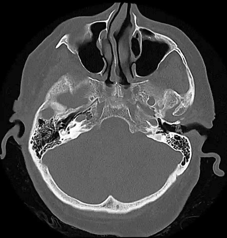
Die bilaterale Pars laterals, auch Pars condylaris genannt, befinden sich lateral des Foramen magnum. Beide Seiten verfügen über einen nierenförmigen Fortsatz, den Condylus occipitalis, der über die Articulatio atlantooccipitalis mit dem ersten Halswirbel artikuliert. Dorsal liegt der Canalis condylaris, durch den die Vena emissaria condylaris zieht, die den Plexus venosus vertebralis externus mit dem Sinus sigmoideus verbindet. Der Nervus hypoglossus tritt durch den Canalis nervi hypoglossi, der durch die Pars lateralis des Os occipitale verläuft.
Squama occipitalis
Die Pars squamosa ist der größte Teil des Os occipitale. Eine ertastbare Knochenwölbung an der Mittellinie der Außenseite des Knochens, die Protuberantia occipitalis externa, dient als Ursprungsfläche für den Musculus trapezius. Zusätzlich weist die äußere Oberfläche drei bogenförmige Knochenleisten, die sogenannten Nackenlinien, auf:
Die Linea nuchae suprema verläuft oberhalb der Protuberantia occipitalis externa und ist der Ansatzpunkt des Musculus epicranius und der Galea aponeurotica.
Die Linea nuchae superior verläuft etwas darunter. Sie bildet den Ansatz des Musculus trapezius, Musculus sternocleidomastoideus und Musculus splenius capitis.
Die Linea nuchae inferior verläuft etwas tiefer und über ihr setzt der Musculus semispinalis capitis an.
Auf der Innenseite weist die Pars squamosa des Os occipitale Vertiefungen auf, die von intraduralen venösen Blutleitern gebildet werden: dem Sinus sagittalis superior, dem Sinus transversi und dem Sinus sigmoideus. Oberhalb des Sulcus sinus transversus befindet sich eine Mulde für den Lobus occipitalis des Gehirns und in der darunter liegenden Grube liegt das Kleinhirn.
Abbildung


Bildgebung
