Sinus sigmoideus

Zuletzt bearbeitet von Alaric Steinmetz am

Synonyme: Sigmoid sinus

Der Sinus sigmoideus ist ein paarig angelegter intraduraler venöser Blutleiter des Gehirns.

Anatomie

Der Sinus sigmoideus verläuft innerhalb des Sulcus sinus sigmoidei in der hinteren Schädelgrube. Der Sinus sigmoideus drainiert venöses Blut aus dem Sinus transversus und die Sinus petrosi superior et inferior und geht im Bereich des Foramen jugulare in die Vena jugularis interna über. Der Sinus sigmoideus unterliegt unter einer hohen anatomischen Variabilität[^1].

Klinische Relevanz

Ein pulssynchroner Tinnitus kann beispielsweise durch ein Sinus sigmoideus Divertikel oder auch eine durale arteriovenöse Fistel im Bereich des Sinus sigmoideus verursacht werden[^2].

Bildgebung

Der Sinus sigmoideus kann in verschiedenen Bildgebungsmodalitäten, wie beispielsweise CT, MRT und DSA.

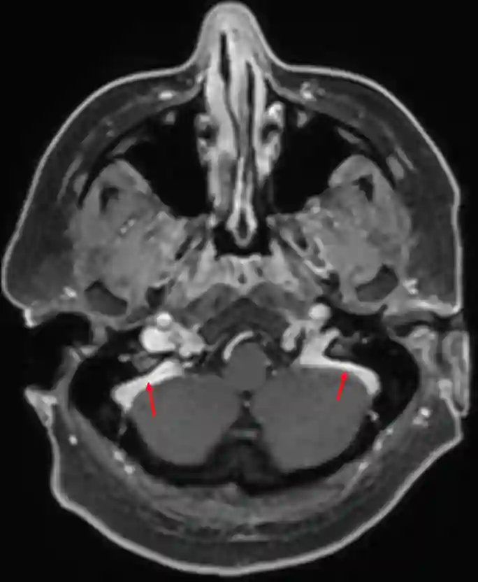
Sinus sigmoideus im MRI
Sinus sigmoideus (roter Pfeil) im axialen MRI (T1 Sequenz mit Kontrastmittel).
Sinus sigmoideus DSA
Darstellung des Sinus sigmoideus auf beiden Seiten in einer venösen Phase einer digitalen Subtraktionsangiographie.