Hemispasmus facialis
Zuletzt bearbeitet von Alaric Steinmetz am
Synonyme: HFS, Spasmus hemifacialis, Hemifacial spasm
ICD-10: G51.3
ICD-11: 8B88.2
Beim Hemispasmus facialis besteht eine Bewegungsstörung der vom Nervus facialis innervierten Muskulatur. Dadurch kommt es zu unwillkürlichen, kurzen oder auch länger anhaltenden Kontraktionen der Gesichtsmuskulatur.
Epidemiologie
Die Prävalenz für einen Hemispasmus facialis liegt bei etwa 11 pro 100 000 Einwohner[^2].
Symptome
Der Hemispasmus facialis ist gekennzeichnet durch fortschreitende, unwillkürliche, unregelmäßige, klonische oder tonische Bewegungen der Muskeln, welche durch den Nervus facialis innerviert werden. In der Regel sind diese Symptome nur auf einer Gesichtshälfte zu beobachten. Zu Beginn der Krankheit treten in vielen Fällen unwillkürliche Krämpfe im Bereich des Musculus orbicularis oculi, die sich dann allmählich auf andere Teile der betroffenen Gesichtshälfte ausbreiten. In ausgeprägten Fällen kann auch das Platysma betroffen sein. Bei den meisten Patienten halten die Symptome im Schlaf an. In sehr seltenen Fällen kann es auch zu einem "Knackgeräusch" im Ohr kommen, welches durch eine Kontraktion des Musculus stapedius erklärt werden kann[^4]. Patienten mit einem Hemispasmus facialis können ein positives Babinski-2 Zeichen aufweisen.
Ätiologie
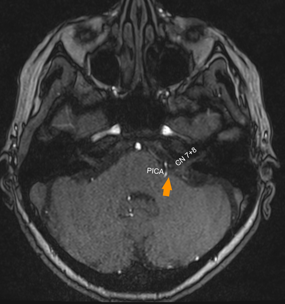
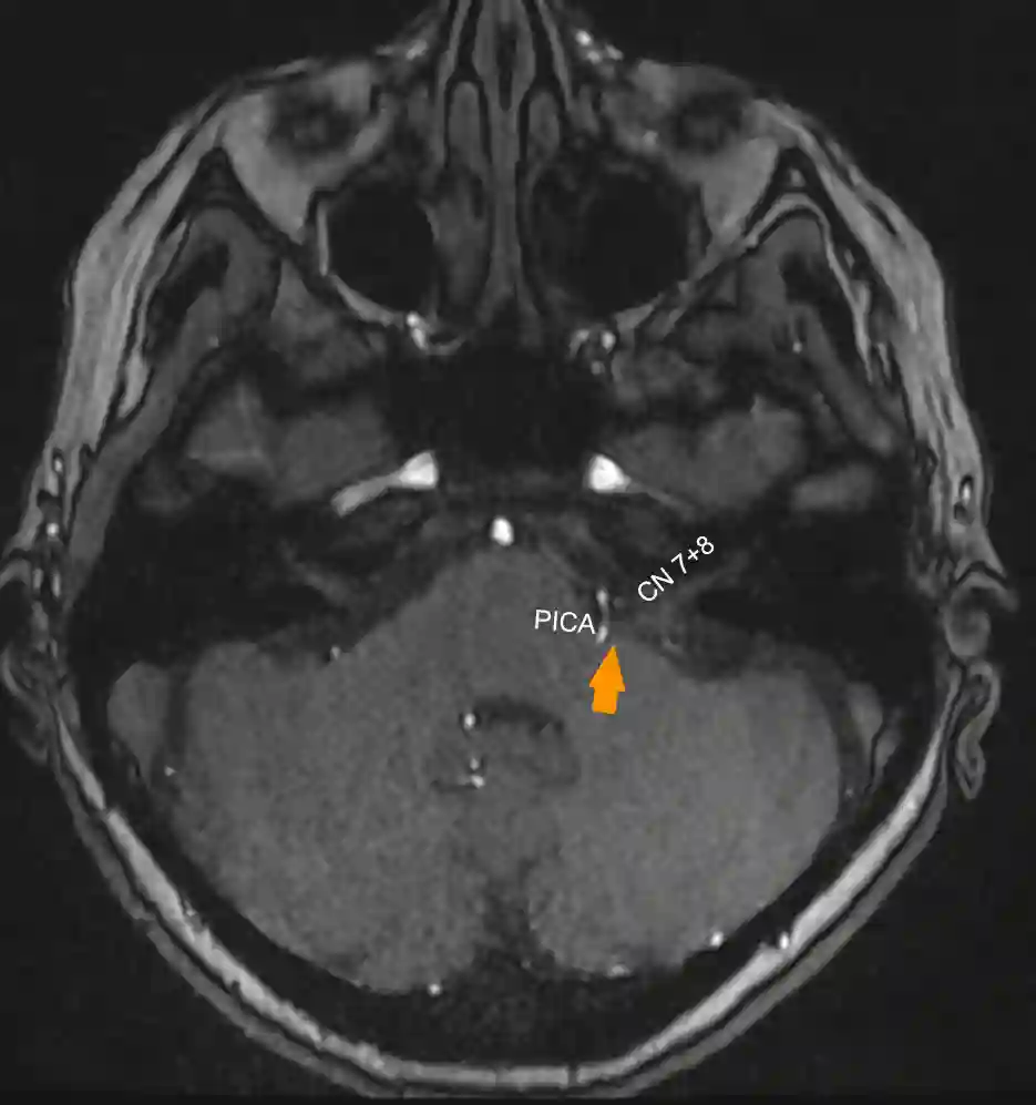
Meistens liegt ein neurovaskulärer Konflikt dieser Erkrankung zugrunde, welcher chirurgisch behandelt werden kann.
Beteiligte Arterie im neurovaskulären Konflikt | Relative Häufigkeit in %[^1] |
35,4 % | |
33,8 % | |
Vertebrobasiläre Arterie (VBA) mit PICA oder AICA | 20 % |
Vertebrobasiläre Arterie alleine | 3,1 % |
In sehr seltenen Fällen kann auch ein venöser Konflikt mit dem Nervus facialis vorliegen[^4].

Bildgebung
Neurovaskuläre Konflikte sind häufig schwer eindeutig auf einer MRT Bildgebung zu diagnostizieren. Optimal eignen sich eine TOF und CISS Sequenz zur Beurteilung der Root Exit Zone (REZ) des Nervus facialis.

Therapie
Konservativ
Als konservative Therapiemöglichkeit kann eine Therapie mittels Botulinum Toxin Injektionen durchgeführt werden.
Chirurgisch
Bei einem vorliegenden neurovaskulären Konflikt kann dieser auch durch einen chirurgischen Eingriff behandelt werden. Hierbei wird der neurovaskuläre Konflikt aufgehoben. Dies kann beispielsweise mit einem Stück autologer Muskulatur[^10], Teflon[^9] [^13], Ivalon[^11] oder Goretex[^12] erreicht werden.
Der neurovaskuläre Konflikt ist in den meisten Fällen in der Root Exit Zone (REZ) des Nervus facialis lokalisiert[^3]. Neurovaskuläre Konflikte des Nervus facialis distal der Root Exit Zone sind selten!
-
microvascular_decompression_hemifacial_spasm.mp4 180.93 MB
- Video Beschreibung
- Operatives Video einer Endoskop-assistierte mikrovaskuläre Dekompression des Nervus facialis.
- Lizenz
- CC BY 4.0
Komplikationen
Komplikationen bei einer mikrovaskulären Dekompression des Nervus facialis beinhalten unter anderem[^6]:
Postoperative Liquorfistel.
Granulombildung bedingt durch das verwendete Teflon in sehr seltenen Fällen[^5].
Postoperative Paresen des Nervus facialis. Diese können direkt postoperativ oder auch verzögert mehrere Tage postoperativ auftreten und sind in den meisten Fällen transient [^8].
Prognose
85-95 % der Patienten erhalten eine mäßige bis deutliche Linderung der Beschwerden durch lokale Injektionen von Botulinumtoxin, die alle 3 bis 4 Monate wiederholt werden müssen. Alternativ dazu hat die mikrovaskuläre Dekompression eine Erfolgsquote von etwa 85 %[^4]. Intraoperatives Monitoring der Lateral Spread Response korreliert mit der postoperativen Beschwerdebesserung der Patienten [^7].