Arteria vertebralis
Zuletzt bearbeitet von Alaric Steinmetz am
Synonyme: Vertebral artery, VA
ICD-11: XA1XP6
Die Arteria vertebralis ist für die Hauptversorgung des hinteren Stromgebiets des Gehirns verantwortlich.
Anatomie
Die paarig angelegte Arteria verterbralis entspringt aus der Arteria subclavia und vereinigt sich zur Arteria basilaris. Die Arteria vertebralis kann in vier Segmente unterteilt werden[^1]:
Segmente
Segment | Beschreibung | Arterienabgänge [^2] |
Prevertebrales Segment (V1) | Das V1 Segment verläuft vom Arterienabgang bis zum Eintritt in das Foramen transversarium, üblicherweise auf Höhe HWK6 | Keine |
Foraminales Segment (V2) | Das V2 Segment verläuft vertikal in den Foramina transversaria in der Halswirbelsäule entlang. |
|
Predurales Segment (V3) | Das V3 Segment verläuft vom Austritt der Arteria vertebralis aus dem Foramen transversarium des Axis bis zum Eintritt der Arteria vertebralis in die Dura mater. |
|
Intradurales Segment (V4) | Das V4 Segment verläuft vom sehr variabel gelegenen Duradurchtritt bis zur Vereinigung zur Arteria basilaris. |
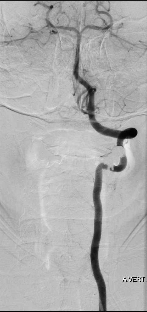
Abbildung

Bildgebung
Der Goldstandard zur optimalen Darstellung der Arteria vertebralis ist die digitale Subtraktionsangiographie, kann jedoch je nach klinischer Fragestellung auch in der CT-Angiographie oder MRT Bildgebung dargestellt wird.



Klinische Relevanz
Aneurysmen
Im Bereich der Arteria vertebralis können typischerweise Dissektionsaneurysmen auftreten und eine Subarachnoidalblutung verursachen[^3]. Die Behandlung dieser Dissektionsaneurysmen kann je nach Fall beispielsweise endovaskuläre mithilfe von Implantation eines Flow-Diverters behandelt werden[^4] [^5].
