Arteria basilaris

Zuletzt bearbeitet von Alaric Steinmetz am

Synonyme: basilar artery

Die Arteria basilaris ist eine Arterie des Gehirns, die aus der Vereinigung der rechten und linken Arteria vertebralis entsteht.

Anatomie

Die Arteria basilaris entsteht im Übergangsbereich zwischen der Medulla oblongata und dem Pons durch den Zusammenschluss der beiden Vertebralarterien auf dem Clivus der Schädelbasis. Sie zieht im Sulcus basilaris des Pons nach superior. Entlang ihres Verlaufs gibt die Arteria basilaris multiple Perforaten in den Hirnstamm ab[^1].

Bildgebung

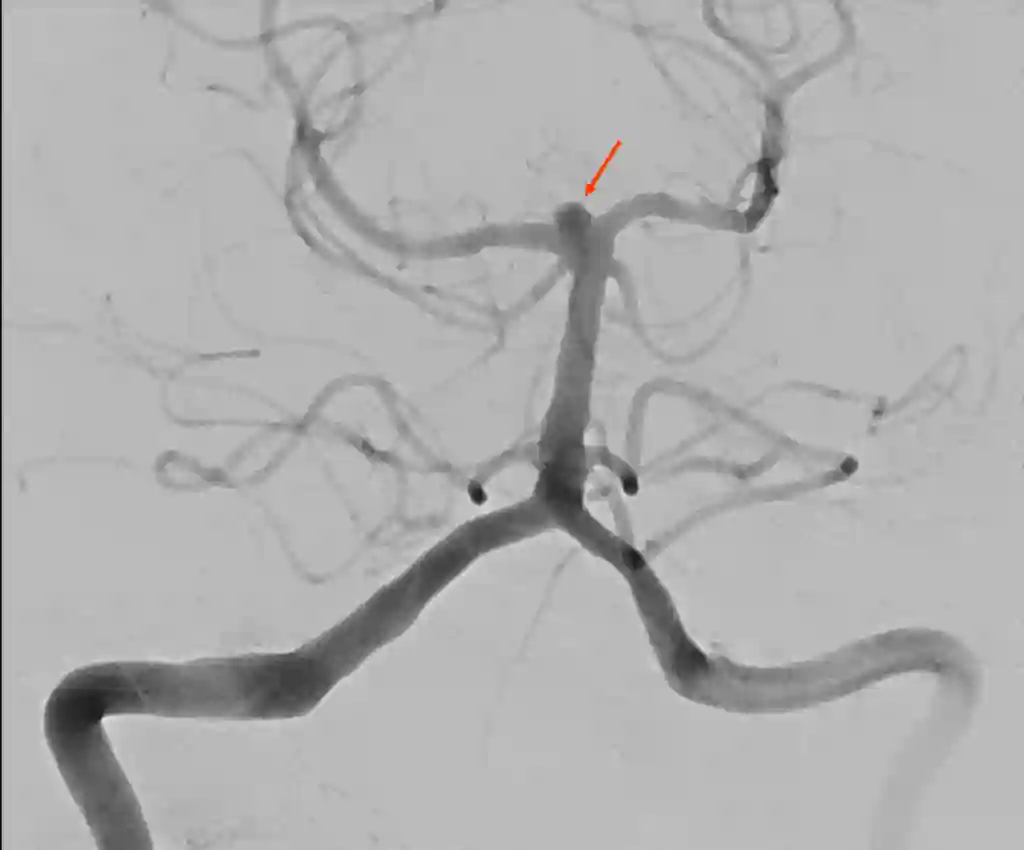
Die Arteria basilaris kann optimal in einer digitalen Subtraktionsangiographie dargestellt werden. In der MRT und Computertomographie ist die Arteria basilaris ebenso darstellbar.

Angiographie der Arteria basilaris
Der rote Pfeil markiert die Arteria basilaris in einer Angiographie.

Klinische Relevanz

Aneurysmen an der Aufteilung der Arteria basilaris in die Arteria cerebri posterior sind häufig und werden als Basilarisspitzenaneurysmen bezeichnet.

Basilarisspitzenaneurysma
Ein Basilarisspitzenaneurysma (roter Pfeil) in einer zerebralen Angiographie.