Subarachnoidalblutung (SAB)

Zuletzt bearbeitet von Alaric Steinmetz am

Synonyme: SAB

Eine Subarachnoidalblutung kommt durch eine arterielle Blutung in den Subarachnoidalraum zustande. Die klassische Ursache ist meist die Ruptur eines intrakraniellen Aneurysmas. Subarachnoidalblutungen können auch traumatisch zustande kommen, zeigen dann aber häufig ein anderes Muster der Blutverteilung.

Bildgebung

Der Goldstandard in der Darstellung von Subarachnoidalblutungen ist die CT Bildgebung. Subarachnoidalblutungen können jedoch ebenso im MRI dargestellt werden.

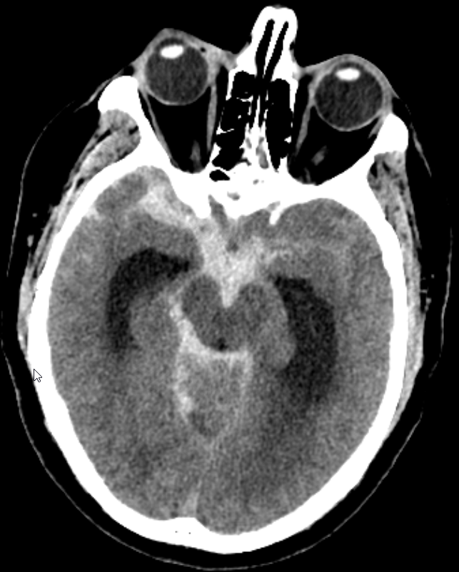
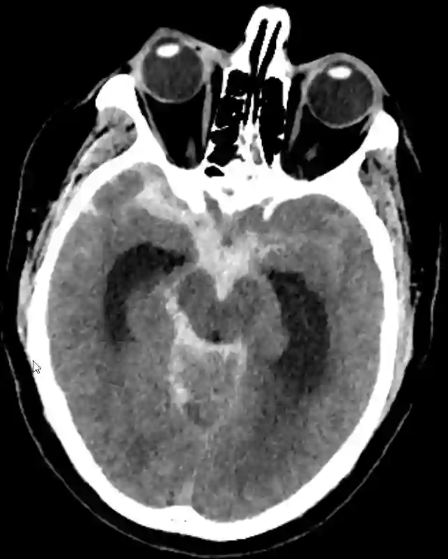
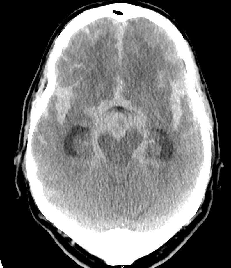
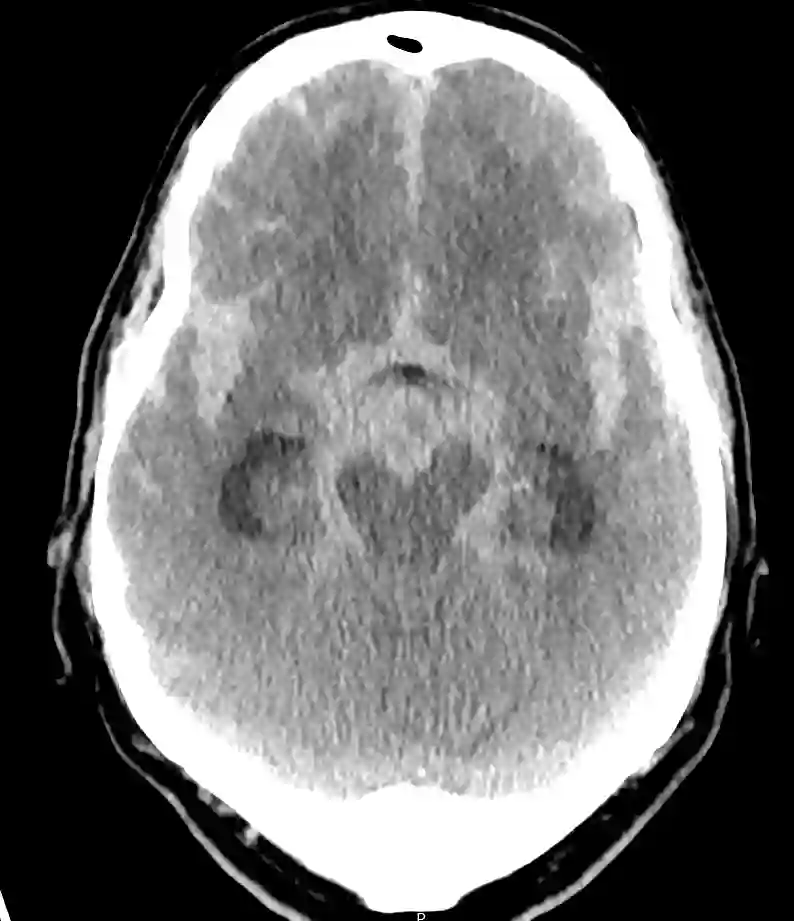
Subarachnoidalblutung mit hydrocephalem Aufstau im CT.
Ausgeprägte Subarachnoidalblutung im CT mit hydrocephalem Aufstau.

Subarachnoidalblutung CT
Axiales CT Bild eines Patienten mit einer ausgeprägten Subarachnoidalblutung und einem bereits vorhandenem Liquoraufstau.