Externe Ventrikeldrainage (EVD)
Zuletzt bearbeitet von Alaric Steinmetz am
Synonyme: EVD, Externer Ventrikelkatheter
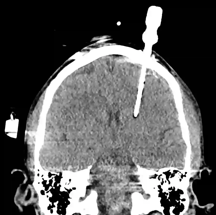
Eine externe Ventrikeldrainage, welche im klinischen Alltag auch als EVD bezeichnet wird, dient der externen Ableitung von Liquor. Es handelt sich um einen dünnen und röntgendichten Kunststoffschlauch (meistens aus Polyurethan), welcher über ein Bohrloch in die inneren Ventrikelräume platziert wird und nach extern abgeleitet wird.

Indikation
Eine Blockade des Liquorfluss, wie beispielsweise durch eine Blutung oder eine verminderte Resorption von Liquor kann zu einem Hydrocephalus mit folglich lebensbedrohlichem Anstieg des Hirndrucks führen. Die häufigste Indikation zur EVD Einlage sind folgende Krankheitsbilder[^6]:
Subarachnoidalblutung (ca. 43 %)
Intrazerebrale Blutungen (ca. 27 %)
Schädelhirntrauma (ca. 16 %)
Intraventrikuläre Blutungen (ca. 13 %)
Tumore (ca. 12 %)
Einlage
Externe Ventrikeldrainagen können zum einen im Operationssaal oder auch direkt am Patientenbett eingelegt werden. Es bestehen zwei verschiedene Arten, um eine platzierte EVD zu fixieren. Zum einen kann eine EVD über eine Tunnelierung ausgeleitet und fixiert werden oder über einen Bolt, welcher direkt in das angelegte Bohrloch eingeschraubt wird. Als üblicher Zielpunkt für die Einlage ist das ipsilaterale Vorderhorn des Seitenventrikels.

Einlagehilfsmittel
Um die EVD Einlage zu vereinfachen, wurden verschiedene Hilfsmittel in der Literatur beschrieben:
Hilfsmittel | Beschreibung |
Mixed-Reality[^7] | Bedside EVD Einlage mithilfe von Mixed-Reality. |
CT-gesteuerte EVD Einlage[^8] | CT-gesteuerte Einlage anhand einer direkten Rekonstruktion der geplanten Trajektorie bei EVDs mit einem Bolt-System. |
Navigationsgestützt[^9] | EVD Einlage mithilfe einer Neuronavigation. |
Ultraschallgestützt[^10] | EVD Einlage mithilfe von Ultraschall |
Thomale-Device[^11] | EVD Einlage mithilfe eines mobilen Device zur Optimierung der Angulierung. |
Komplikationen
Fehllage
Eine retrospektive Studie von Toma et al.[^1] konnte 2009 zeigen, dass lediglich 40 % der "Freihand" eingelegten EVDs im ipsilateralen Ventrikel platziert worden sind. Eine größere Meta-Analyse aus dem Jahr 2023 zeigte eine Fehlplatzierungsrate von etwa 28 %[^6].

Einblutung
Das Risiko für eine EVD assoziierte Blutung liegt bei etwa 5 % [^6].

Infektionsrisiko
Die Inzidenz für eine EVD assoziierte Infektion beträgt etwa 5- 9,5 %[^2] [^6]. Die Implantationsdauer, Liquorleckage, Blut im Liquor als auch Spülen der EVD sind bekannte Risikofaktoren, welche das Infektionsrisiko erhöhen [^2] [^3] [^4]. Eine propyhlaktische Antibiotikagabe bei Patienten mit einer externen Ventrikeldrainage wird kontrovers diskutiert. Studiendaten deuten darauf hin, dass durch eine prophylaktische Antibiose das Infektionsrisiko bei einer externen Ventrikeldrainage nicht reduziert wird[^5]