Seitenventrikel

Zuletzt bearbeitet von Alaric Steinmetz am

Die beiden Seitenventrikel gehören zum Ventrikelsystem. Ihre komplexe C-förmige Gestalt entsteht durch das starke Wachstum des Telencephalons und die damit einhergehende Rotation der Großhirnhemisphären während der embryonalen Gehirnentwicklung.

Anatomie

Jeder Seitenventrikel besteht aus vier Anteilen: Vorderhorn, Zentralteil, Unterhorn (Temporalhorn) und Hinterhorn.

Abbildung

Seitenventrikel anatomische Zeichnung
Schematische Abbildung des Ventrikelsystem mit roter Einfärbung des Seitenventrikels. Abbildung adaptiert von Grays Anatomy Figure 736.
Ventrikelsystem anatomische Zeichnung
Schematische Abbildung des Ventrikelsystem mit roter Einfärbung des Seitenventrikels. Abbildung adaptiert von Grays Anatomy Figure 736.

Bildgebung

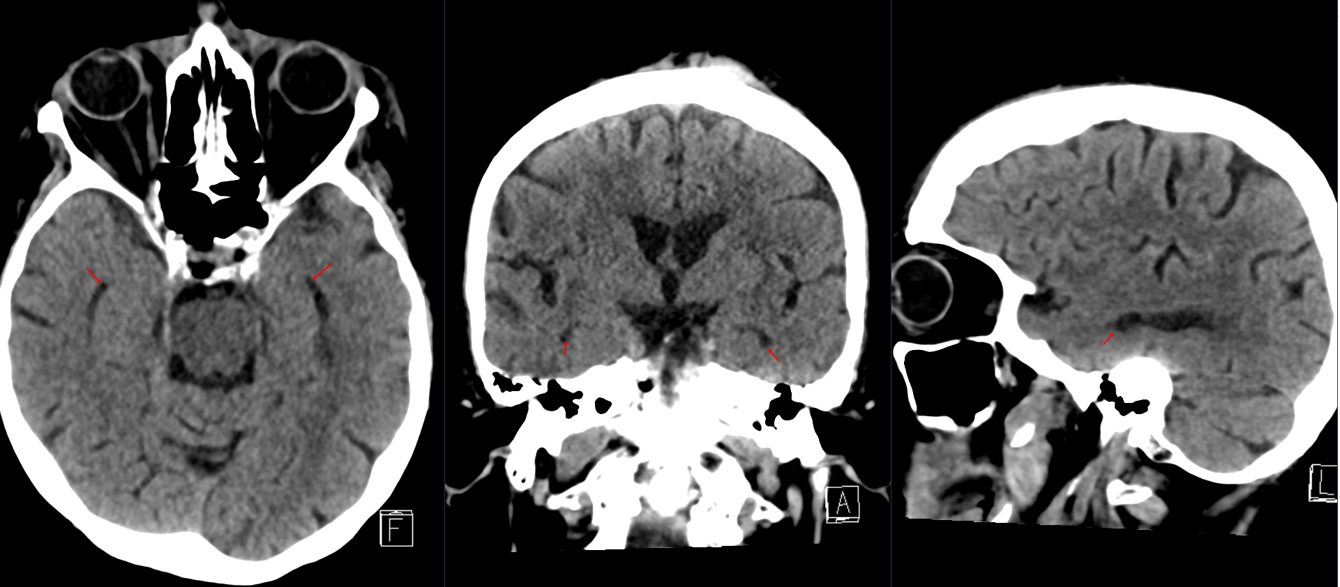
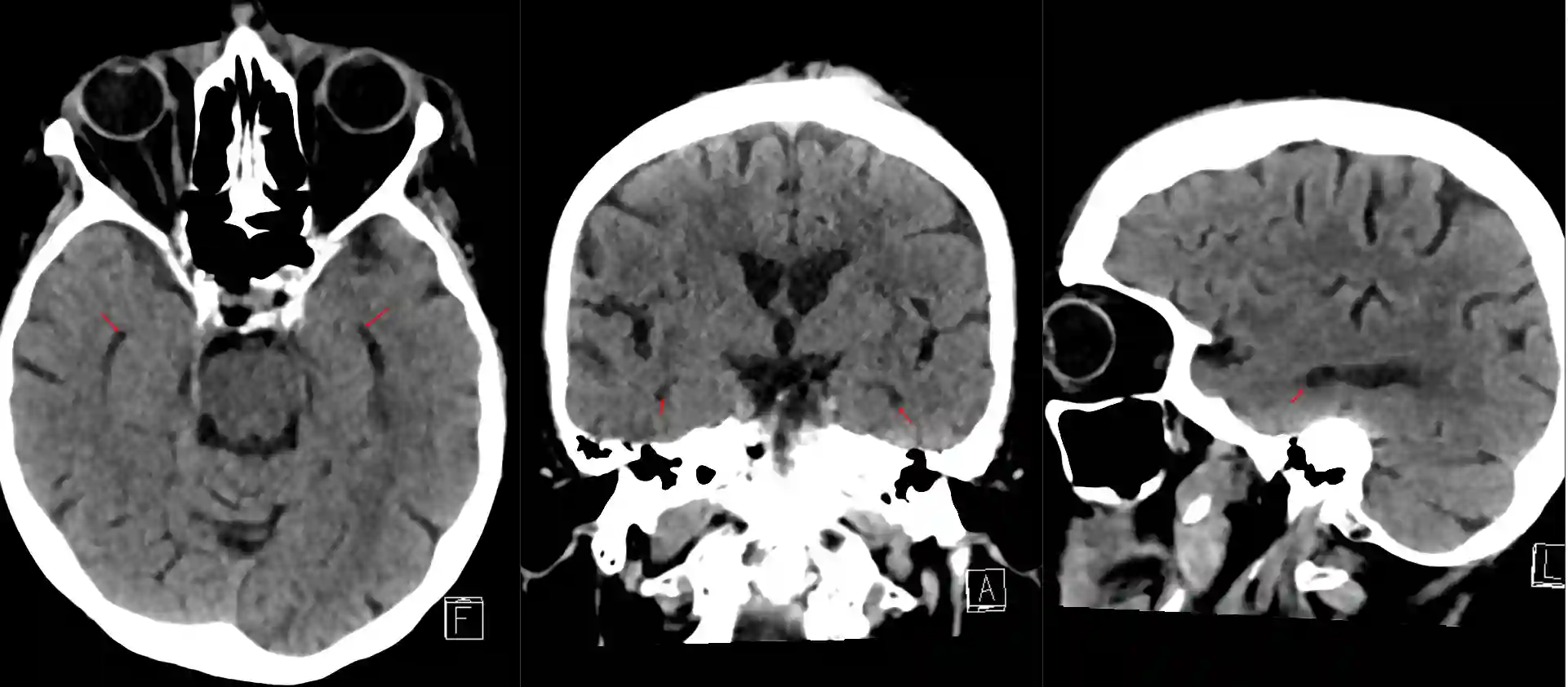
Das Temporalhorn des Seitenventrikels ist üblicherweise in einem CT oder MRI nicht sichtbar. Ein sichtbares Temporalhorn kann ein Zeichen für einen beginnenden Liquoraufstau sein.

Temporalhorn des Seitenventrikel im CT
Darstellung des Temporalhorns des Seitenventrikels in verschiedenen Ebenen in einer CT Bildgebung.

Klinische Relevanz

Die Seitenventrikel sind der normale Zielpunkt beim Einlegen einer externen Ventrikeldrainage (EVD).