Intrazerebrale Blutung

Zuletzt bearbeitet von Alaric Steinmetz am

Synonyme: ICB, hämorrhagischen Schlaganfall

Intrazerebrale Blutungen (ICB) stellen etwa 10-20 % aller Schlaganfälle dar1. Hierbei kommt es zu einer Blutung innerhalb des Gehirnparenchyms, meistens ist die Ursache hierfür die Ruptur kleiner Arteriolen. Durch den lokalen Druck und die Mechanismen der Hämostase kommt es schließlich zum Blutungsstopp.

Epidemiologie

Intrazerebrale Blutungen (ICB) stellen etwa 10-20% aller Schlaganfälle dar und haben in Nordamerika eine Inzidenz von etwa 21,1 / 100.000 pro Jahr mit einem durchschnittlichen Patientenalter von 69 Jahren2. Etwa 5,9% der Patienten mit einer intrazerebralen Blutung benötigen eine externe Ventrikeldrainage3.

Bildgebung

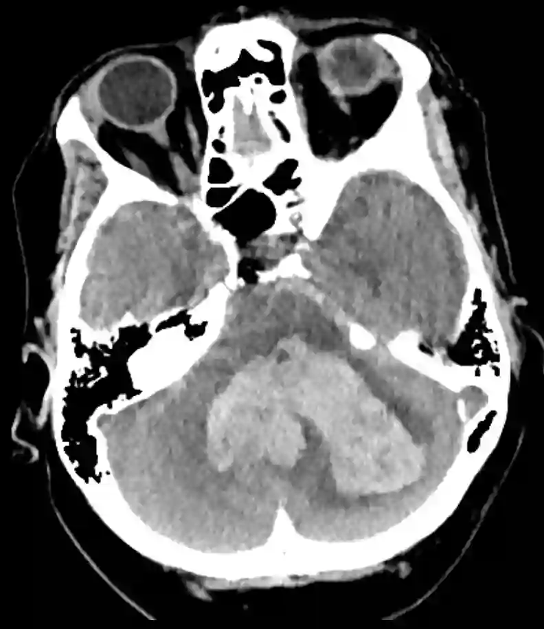
Cerebelläre Blutung im CT
Ausgeprägte cerebelläre Einblutung im axialen CT Bild.

Behandlung

Je nach Größe und Lokalisation der intrazerebralen Blutung kann diese konservativ behandelt werden. In manchen Fällen ist eine chirurgische Entlastung der Blutung notwendig.

Referenzen