Schädelhirntrauma (SHT)

Zuletzt bearbeitet von Alaric Steinmetz am

Synonyme: TBI, SHT, Traumatic Brain Injury

Unter einem Schädelhirntrauma (SHT) versteht man traumatische Verletzungen des Schädels mit Beteiligung des Gehirns. Die Schweregradeinteilung eines Schädelhirntraumas richtet sich nach der Glasgow Coma Scale (GCS)

Epidemiologie

Das durchschnittliche Alter für ein Schädelhirntrauma liegt bei 27 bis 59,7 Jahren, wobei Männer häufiger als Frauen betroffen sind.1

Schweregrad Glasgow Coma Scale Relativer epidemiologischer Anteil2
Grad I 13-15 55 %
Grad II 9-12 27,7 %
Grad III 3-8 17,3 %

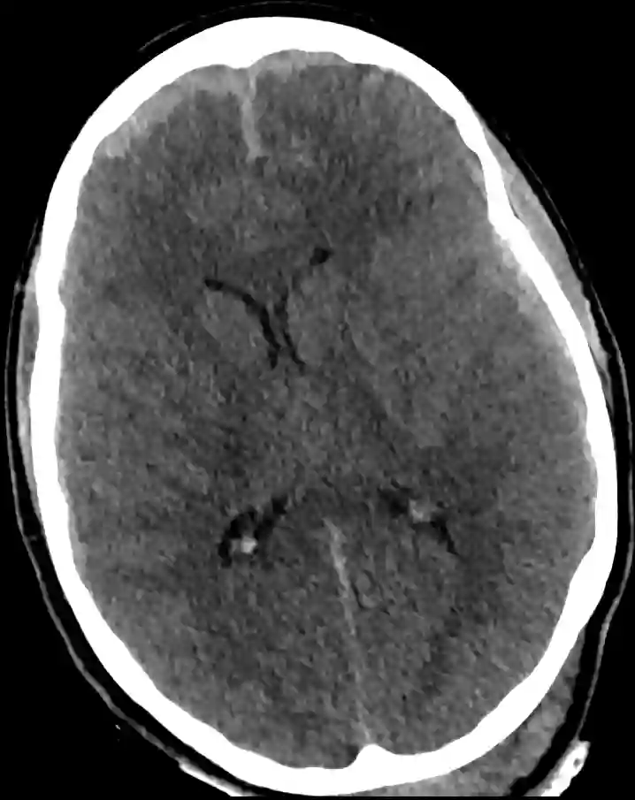
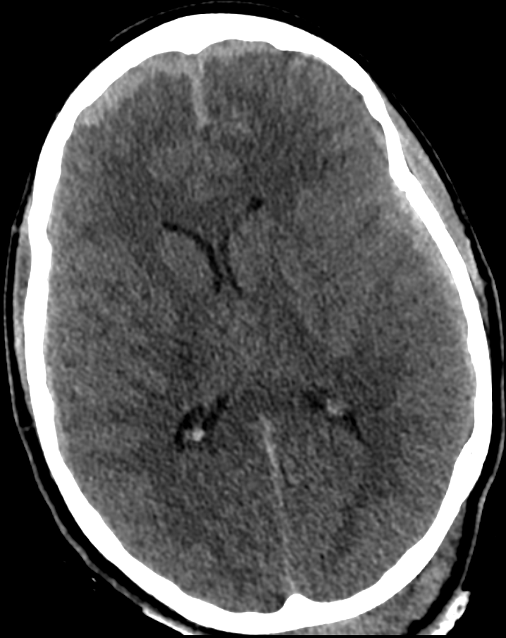
Schädelhirntrauma im CT
CT Bild eines Patienten mit einem schweren Schädelhirntrauma mit beginnendem Hirnödem und beidseitig frontalem akuten Subduralhämatom.

Referenzen



    1. Li, Min, et al. "Epidemiology of traumatic brain injury over the world: a systematic review." General medicine: open access 4.5 (2016): e275-e275.