Glandula pinealis

Zuletzt bearbeitet von Alaric Steinmetz am

Synonyme: Epiphyse, Zirbeldrüse, Corpus pineale

Die Glandula pinealis, wird auch als Epiphyse oder Zirbeldrüse bezeichnet.

Anatomie

Die Glandula pinealis befindet sich als Teil des Epithalamus an der Hinterwand des dritten Hirnventrikels oberhalb der Vierhügelplatte.

Histologie

Die Glandula pinealis ist von einer bindegewebigen Kapsel umhüllt. Die neuroendokrinen Zellen der Glandula pinealis, die Pinealozyten, werden von bindegewebigen Septen in Läppchen gegliedert.

Hormone

Die Pinealozyten synthetisieren und sezernieren Indole und Peptide, insbesondere das α-melanozytenstimulierende Hormon (α-MSH) und Melatonin[^1].

Abbildung

Anatomische Zeichnung Glandula pinealis
Schematische Darstellung der Glandula pinealis (rot eingefäbrt), auf einer anatomischen Zeichnung von Sobottas Atlast and Textbook of Human Anatomy 1908 (Figure 650).
Tectum von posterior Rhoton
Anatomische Abbildung der Vierhügelplatte mit und ohne entsprechende vaskuläre Strukturen. Abbildung adaptiert von Albert Rhoton 2002 Neurosurgery.
Dritter Ventrikel Sagittal
Sagittaler Schnitt durch den dritten Ventrikel. Abbildung adaptiert von Albert Rhoton 2002 in Neurosurgery.

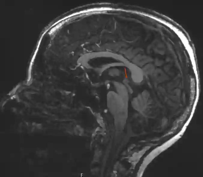
Bildgebung

Glandula pinealis im MRI
Darstellung der Glandula pinealis in einer sagittalen T1 Sequenz eines 7Tesla MRI.