Foramen Monroi

Zuletzt bearbeitet von Alaric Steinmetz am

Synonyme: Foramina of monro, Foramen Monro, Foramen interventriculare

Das Foramen Monroi ist paarig angelegt und verbindet beide Seitenventrikel mit dem dritten Ventrikel.

Anatomie

Die anatomische Begrenzung nach anteromedial wird vom Fornix gebildet und nach posterolateral durch den Thalamus.

Klinische Relevanz

Eine Verlegung des Foramen Monrois führt zu einem Hydrocephalus occlusus und kann beispielsweise durch eine Kolloidzyste verursacht werden, welche typischerweise im Bereich des Foramen Monrois auftreten. Bei endoskopischen Eingriffen kann beispielsweise durch das Foramen Monroi über den Seitenventrikel der dritte Ventrikel erreicht werden.

Bildgebung

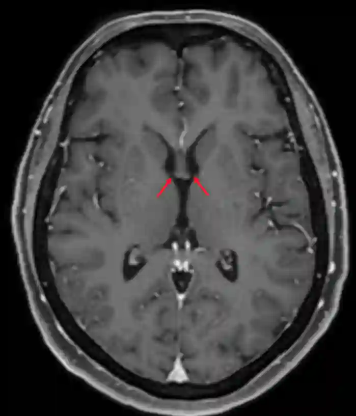
Foramen Monroi im axialen MRI
Axiales MRI Bild (T1 Sequenz mit Kontrastmittel) des Foramen Monrois.
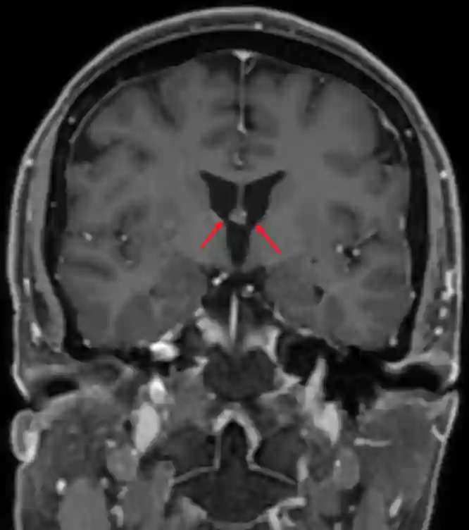
Foramen Monroi im MRI
Foramen Monroi im MRI (T1 mit Kontrastmittel coronal).

Abbildung

Anatomie des Seitenventrikels
Anatomie des eröffnenten Seitenventrikels. Abbildung adaptiert von Rhoton et al.