Chiasma opticum

Zuletzt bearbeitet von Alaric Steinmetz am

Synonyme: Optic chiasm

ICD-11: XA5TX3

Das Chiasma opticum ist die Kreuzungsstelle der beiden Sehnerven.

Anatomie

Das Chiasma opticum liegt in der mittleren Schädelgrube im Sulcus chiasmatis des Os sphenoidale. In unmittelbarer Nähe treffen der Boden und die Vorderwand des dritten Hirnventrikels aufeinander. Kaudal des Chiasmas liegt die Sella turcica mit der Hypophyse und dorsal der Hypophysenstiel.

Anatomische Varianten

Variante Chiasma opticum Lokalisation1 Häufigkeit2
Normal Überhalb des Diaphragma sellae ~ 80 %
Prefixed Überhalb des Tuberculum sellae ~ 10 %
Postfixed Überhalb des Dorsum sellae ~ 10 %

Anatomische Variationen des Chiasma opticum
Schematische und MRT Abbildungen der drei anatomischen Variationen des Chiasma opticums. AC, anterior clinoid; DS, dorsum sellae; IC, internal carotid artery; OC = Chiasma opticum; ON = Nervus opticus; OT = Tractus opticus; PG = Hypophyse; TS = Tuberculum sellae. Abbildung adaptiert von Prieto et al. World Neurosurgery 2015.

Klinische Relevanz

Tumore im Bereich der Hypophyse, wie beispielsweise Hypophysenadenome oder Kraniopharyngeome, können eine Verlagerung oder Kompression des Chiasma opticums mit einer daraus resultierenden Gesichtsfeldausfälle, wie typischerweise eine bitemporalen Hemianopsie verursachen oder auch Visuseinschränkungen.

Dislokationen des Chiasma opticums
Schematische und MRT Abbildungen möglicher Dislokationen des Chiasma opticums. Abbildung adaptiert von Prieto et al. World Neurosurgery 2015.

Bildgebung

Das Chiasma opticum lässt sich in der MRT Bildgebung darstellen.

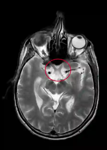
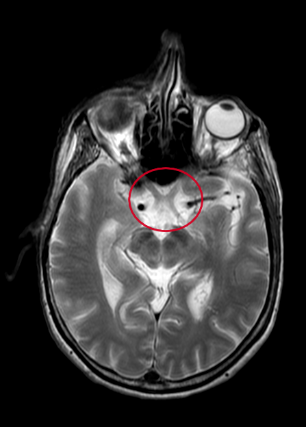
Chiasma opticum im MRT
Darstellung des Chiasma opticum (innerhalb der roten Markierung) in einer axialen T2 MRT Sequenz des Schädels.

Referenzen