Cisterna interpeduncularis

Zuletzt bearbeitet von Alaric Steinmetz am

Synonyme: Interpeduncular cistern

Die Cisterna interpeduncularis ist eine mit Liquor gefüllte Zisterne und liegt am Mittelhirn im Bereich der Crura cerebri.

Terminologie

Die Cisterna interpeduncularis und Cisterna chiasmatica werden zusammen als Cisterna basalis bezeichnet.

Anatomie

Die Cisterna interpeduncularis beinhaltet folgende anatomische Strukturen[^1]:

Abbildung

Sagittalschnitt Cisternen
Sagittale Darstellung des Hirnstamms und Cerebellums. Abbildung adaptiert von Grays Anatomy.

Bildgebung

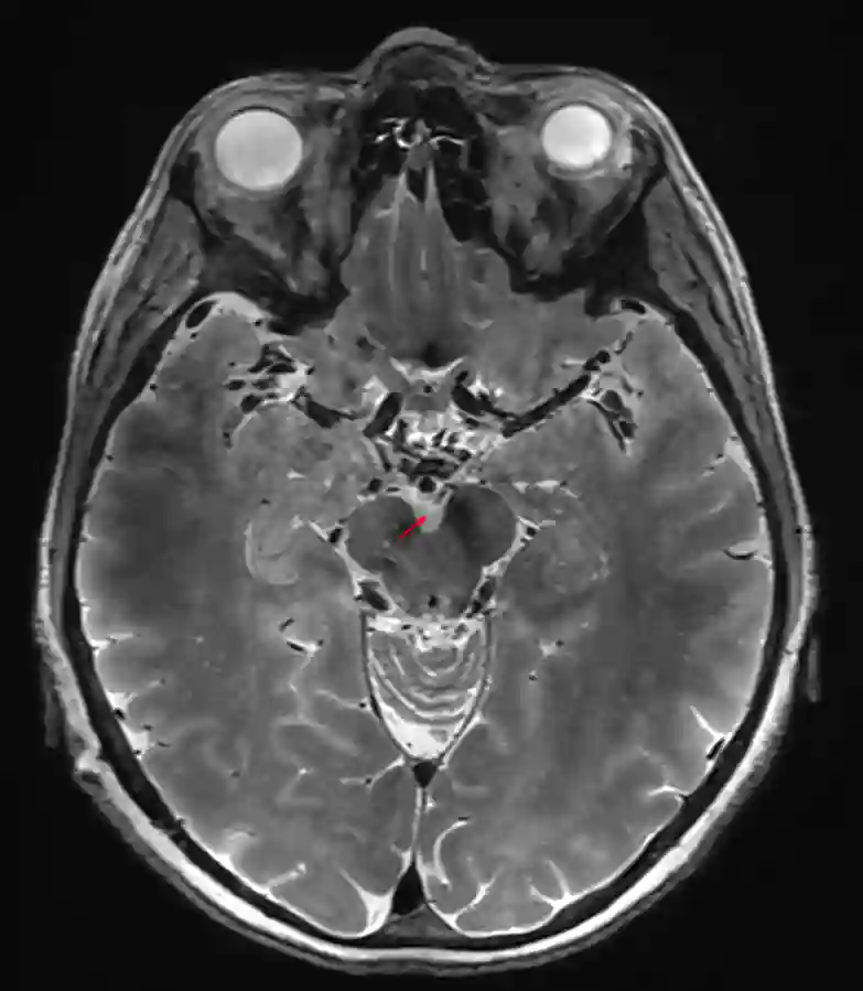
Cisterna interpeduncularis
Darstellung der Cisterna interpeduncularis (roter Pfeil) in einer axialen T2 MRI Sequenz.