Arteria cerebri posterior (PCA)

Zuletzt bearbeitet von Alaric Steinmetz am

Synonyme: PCA, posterior cerebral artery

Die Arteria cerebri posterior (posterior cerebral artery, PCA) ist ein Ast der Arteria basilaris und stellt eines der drei arteriellen Hauptgefäße des Gehirns dar. Es bestehen verschiedene Einteilung üblicherweise wird in Arteria cerbri posterior in vier Segmente eingeteilt1:

Segment Verlauf Arterienabgänge
P1 Vom Beginn der PCA bis zum Abgang der Arteria communicans posterior. Perforatoren zum Thamalus
P2 Vom Abgang der Arteria communicans posterior bis zum Abgang der Arteria temporalis inferior. Das P2 Segment verläuft durch die Cisterna ambiens. Multiple Perforatoren
P3 Das P3 Segment verläuft vom Abgang der Arteria temporalis inferior bis zum Beginn der terminalen PCA Äste. Das P3 Segment verläuft durch die Cisterna quadrigeminalis. Multiple Perforatoren
Arteria calcarina
Arteria parietooccipitalis
P4 Das P4 Segment beginnt nach dem Abgang der Arterie parietooccipitalis und Arteria calcarina und beinhaltet die terminalen Äste der PCA. Kortikale Äste

Bildgebung

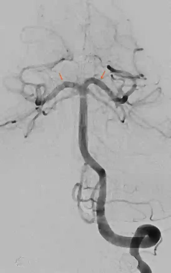
Arteria cerebri posterior DSA Angiographie
Digitale Subtraktionsangiographie des hinteren Stromgebiets mit Darstellung der Arteria cerebri posterior beidseits (roter Pfeil).

Ausfallsymptomatik

Bei einem Verschluss der Arteria cerebri posterior kommt es zu einem unilateralen Infarkt des Lobus occipitalis und eine damit einherghehende kontralaterale homonyme Hemianopsie. Visueller neglect und ein Gerstmann Syndrom können ebenso vorkommen. Eine Hemiparese kann auf Grund des Ödems im hinteren Schenkel der Capsula interna als auch von einer Infarzierung der Pedunculi cerebri vorkommen2.

Referenzen



    1. Vascular Anatomy. In: Greenberg M, ed. Handbook of Neurosurgery. 9th Edition. Thieme; 2019.    

    2. Neurosurgical Knowledge Update - A comprehensive review. Robert E. Harbaugh et al. Thieme Verlag.