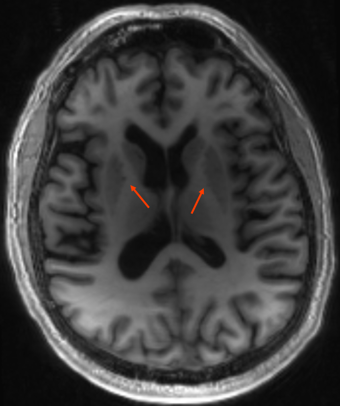
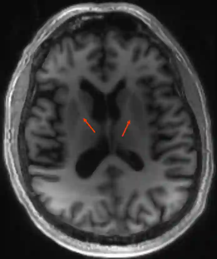
Capsula interna
Zuletzt bearbeitet von Alaric Steinmetz am
Synonyme: Internal capsule
Die Capsula interna ist ist eine anatomische Struktur des Großhirns.
Anatomie
Die Capsula interna wird innen vom Nucleus caudatus und vom Thalamus, außen vom Putamen und vom Pallidum begrenzt. Als wichtigste Faserverbindung läuft der Tractus corticospinalis innerhalb der Capsula interna in Richtung Hirnstamm.

Crus anterior der Capsula interna
Im Crus anterior der Capsula interna verläuft der Tractus frontopontinus als auch der vordere Thalamusstiel. Ein Großteil der Blutversorgung des Crus anterior erfolgt durch kapsuläre Äste der Arteria cerebri media[^1].
Genu der Capsula interna
Im Genu der Capsula interna verläuft der Tractus corticonuclearis. Die Blutversorgung des Genu erfolgt meist durch direkte Gefäßäste aus der Arteria carotis interna[^1].
Crus posterior der Capsula interna
Im Crus posterior verläuft der Tractus corticospinalis, Tractus corticorubralis wie auch der obere- und hintere Thalamusstiel und Teile der Hör- und Sehbahn. Ebenfalls wird ein Großteil der Blutversorgung des Crus posterior durch kapsuläre Äste der MCA sichergestellt[^1] als auch durch die Arteria choroidea anterior.

Bildgebung
Die Capsula interna kann in der MRT-Bildgebung dargestellt werden.
