Arteria carotis interna

Zuletzt bearbeitet von Alaric Steinmetz am

Synonyme: Internal carotid artery, ICA, ACI

Die Arteria carotis interna (Internal carotid artery, ICA) ist neben der Arteria vertebralis für die Blutversorgung des Gehirns zuständig. Die Arteria carotis interna entspringt an der Carotisbifurkation aus der Arteria carotis communis, welche im Normalfall auf Höhe des 4. Halswirbels lokalisiert ist, jedoch einer großen Variabilität unterliegt. Die klinisch gängige Einteilung erfolgt in 7 Segmente nach Bouthillier1:

Einteilung

Segment Verlauf Arterienabgänge
Zervikales Segment (C1) Von der Carotisbifurkation bis zum Eintritt in den Canalis caroticus. Keine
Petröses Segment (C2) Eintritt in den Canalis caroticus bis zum posterioren Rand des Foramen lacerum. Keine
Lacerum Segment (C3) Das C3 Segment verläuft vom posterioren Rand des Foramen lacerum bis zum petrolingualen Ligament. Die ICA läuft hierbei über das Foramen lacerum und nicht hindurch. Ramus caroticotympanicus
Arteria canalis pterygoidei
Kavernöses Segment (C4) Verläuft vom petrolingualen Ligament bis zum proximalen Duraring. Ramus tentorii basalis
Ramus tentorii marginalis
Ramus meningeus
Ramus sinus cavernosi
Arteria hypophysialis inferior
Ramus ganglionis trigeminalis
Clinoidales Segment (C5) Das clinoidale Segment verläuft vom proximalen Duraring bis zum distalen Duraring. Die ICA ist ab dem distalen Duraring vollständig intradural. Keine
Ophthalmisches Segment (C6) Das ophthalmische Segment der ICA verläuft vom distalen Duraring bis zum Abgang der Arteria communicans posterior. Arteria hypophysialis superior
Arteria ophthalmica
Terminales Segment (C7) Die terminale ICA verläuft vom Abgang der Arteria communicans posterior bis zur Aufteilung in die Arteria cerebri media und Arteria cerebri anterior. Arteria choroidea anterior
Arteria cerebri anterior (Endast)
Arteria cerebri media (Endast)

Segmente der Arteria carotis interna
Schematische Darstellung der sieben Segmente der Arteria carotis interna. Abbildung adaptiert von Schünke et al. Lernatlas der Anatomie.

Angiographie

ICA Angiographie mit Knochen
Darstellung einer ICA digitalen Subtraktionsangiographie mit knöchernen Strukturen des Schädels.

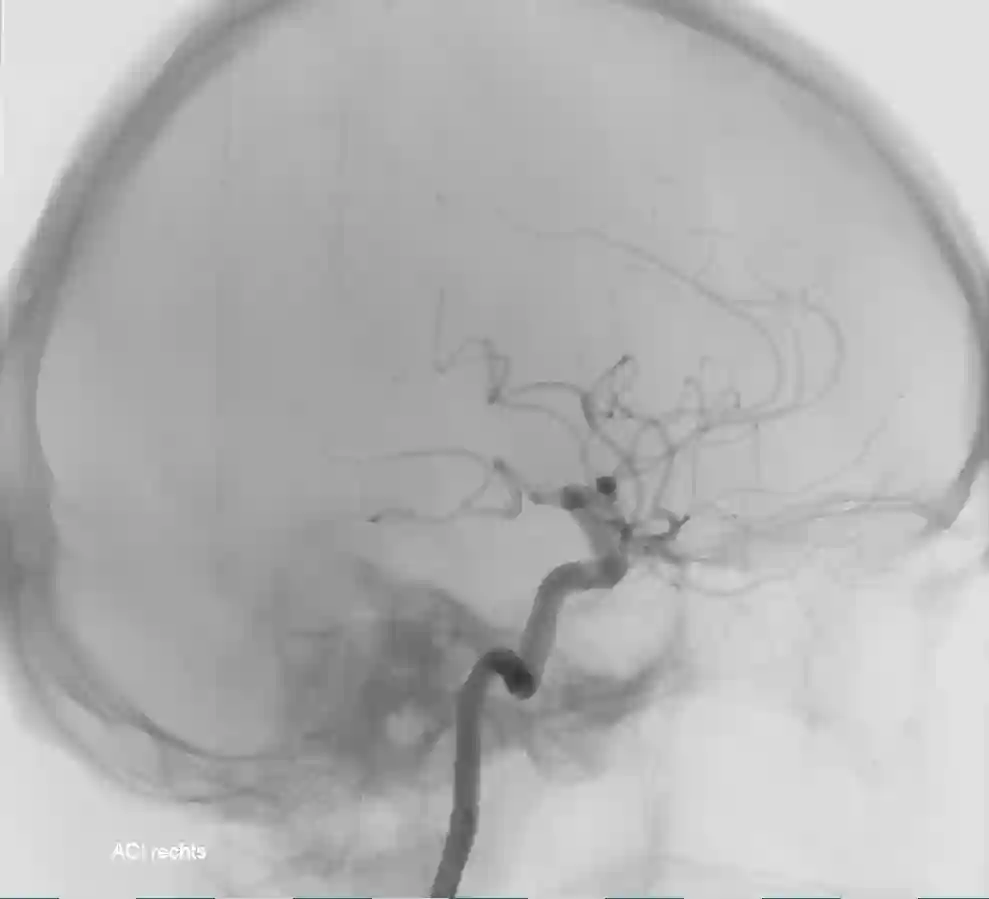
ICA Angiographie lateral
Darstellung der Arteria carotis interna in einer Angiographie im lateralen Strahlengang.

ICA Angiographie AP
Darstellung der Arteria carotis interna in einer Angiographie im AP Strahlengang.

Referenzen