Arnold Chiari Malformation

Zuletzt bearbeitet von Alaric Steinmetz am

Die Arnold-Chiari-Malformation umfasst vier Typen von kongenitalen Abnormalitäten bzw. Missbildungen des Rhombencephalons. Mit Ausnahme der Arnold-Chiari-Malformation Typ IV, sind diese Missbildungen durch eine kaudale Verlagerung von Pons, Medulla oblongata oder Cerebellum bzw. Vermis cerebelli charakterisiert. Am häufigsten kommen Arnold Chiari Malformationen Typ I und Typ II vor.

Chiari Typ I Malformation

Patienten mit einer Chiari Malformation entwickeln klinische Symptome auf Grund folgender Ursachen1.

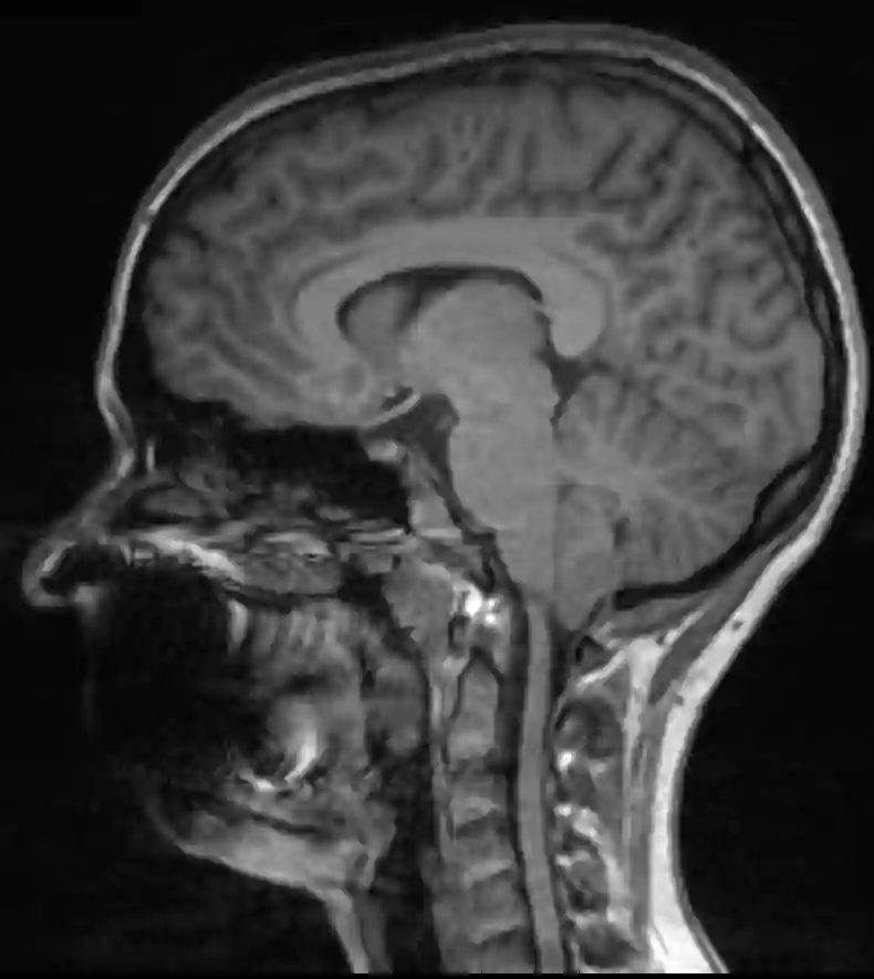
Chiari I Malformation im MRI
Sagittales T1 MRI Bild eines Patienten mit einer Chiari 1 Malformation.

Chiari I Malformation MRI
Sagittale T2 Sequenz eines MRI von einem Patienten mit einer Chiari I Malformation und assoziierter Syringomyelie im Bereich der Halswirbelsäule.

Symptome

15-30% aller Erwachsenen Patienten mit einer Chiari I Malformation sind asymptomatisch2. Das häufigste Symptom bei einer Chiari I Malformation sind Kopfschmerzen, welche bei 69 % der Patienten vorkommt3 und üblicherweise in der suboccipitalen Region auftreten. Die Kopfschmerzen können häufig durch Nackenextension oder ein Valsalva Manöver getriggert werden.

Übersicht der möglichen Symptome bei Chiari I Malformationen anhand von 71 Patienten4:

Symptom Häufigkeit (%)
Schmerzen 69 %
Schwäche (1 oder mehrere Extremitäten) 56 %
Sensibilitätsstörung (1 oder mehrere Extremitäten) 52 %
Störung des Temperaturempfindens 40 %
Gleichgewichtsstörungen 40 %
Doppelbilder 13 %
Dysphasie 8 %
Tinnitus 7 %
Erbrechen 5 %
Dysarthrie 4 %

Referenzen



    1. Handbook of Neurosurgery. Greenberg M, ed. 9th Edition. Thieme; 2019    

    2. Bejjani GK, Cockerham KP. Adult Chiari malformation. Contemp Neurosurg. 2001;23:1-7    

    3. Paul KS, Lye RH, Strang FA, et al. Arnold-Chiari Malformation: Review of 71 Cases. J Neurosurg. 1983;58:183-187.