Chronisches Subduralhämatom

Zuletzt bearbeitet von Alaric Steinmetz am

Synonyme: pachymeningitis hemorrhagica interna, cSDH

Das chronische Subduralhämatom ist ein häufiges neurochirurgisches Krankheitsbild, welches insbesondere oft bei älteren Menschen nach einem Sturz mit Kopfanprall auftritt. Es handelt sich hierbei um eine chronifizierte Blutansammlung zwischen Gehirn und der harten Hirnhaut.

Epidemiologie

In Patienten über 70 Jahren tritt das chronische Subduralhämatom mit einer Inzidenz von 58/100000 Personen auf1.

Ursachen und Pathophysiologie

Das chronische Subduralhämatom tritt oft mehrere Wochen nach einem Sturz auf und entwickelt sich wahrscheinlich aus einem initial gering ausgeprägten akuten Subduralhämatom2. Das Blut im Subduralraum ruft eine inflammatorische Reaktion hervor, was zu einem Einwandern von Fibroblasten und Bildung von Neomembranen an der kortikalen und duralen Fläche des Hämatoms führt3. Dies führt dann zur Bildung von Neokapillaren einer enzymatischen Fibrinolyse und folglicher Liquifizierung des Blutklots4. Abbauprodukte des Fibrins werden in neue Blutklots umverteilt und inhibieren die Hämostase. Der Verlauf eines chronischen Subduralhämatoms wird bestimmt von einem Gleichgewicht der Plasma Effusion und/oder erneuten Einblutungen ausgehend von den Neomembrane und der Resorption des Hämatoms auf der anderen Seite5 6.

Risikofaktoren

Die Einnahme von Medikamente, welche eine Thrombozytenaggregation hemmen (wie beispielsweise Aspirin oder Clopidogrel) oder die Koagulation beeinflussen, wirken sich fördernd auf die Entwicklung eines chronischen Subduralhämatoms aus. Zu den bekannten Risikofaktoren zur Entwicklung eines chronischen Subduralhämatoms zählen Alter, Alkoholabhängigkeit, epileptische Anfälle, Liquor-Shunts, zerebrale Atrophie7 8. Ein Trauma ist nicht immer zwingend in der Anamnese vorhanden. 29-38% aller Patienten haben keine erinnerliche Sturzanamnese9.

Symptome

Die Symptome bei einem chronischen Subduralhämatom entwickeln sich oft langsam und präsentieren sich häufig mit geringen Symptomen wie Kopfschmerzen, Verwirrung oder Sprachstörungen10. Die Symptome können auch stärker ausgeprägt sein und sich als Hemiparese bis hin zur Hemiplegie äußern. Ebenso können verschieden ausgeprägte epileptische Anfälle bis hin zu komatösen Zustandsbilder auftreten11. Zur akademischen Quantifizierung des klinischen Schweregrads kann die Markwalder Klassifikation verwendet werden, anhand welcher je nach klinischem Zustand eine Einteilung in fünf verschiedene Grade erfolgt.

Bildgebung

Der Goldstandard in der bildgebenden Diagnostik eines chronischen Subduralhämatoms ist die CT-Bildgebung des Kopfes. Die Diagnose kann ebenso mit einem MRI gestellt werden.

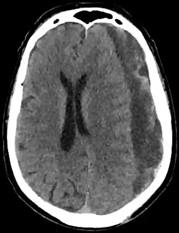
Chronisches Subduralhämatom im CT.
Patient mit einem chronischen Subduralhämatom auf der linken Seite in einem axialen CT-Bild.

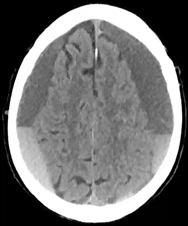
Chronisches Subduralhämatom mit subakuten Einblutungen
Darstellung eines chronischen Subduralhämatoms mit subakuten Einblutungen beidseits im axialen CT Bild.

Behandlungsmöglichkeiten

In manchen Fällen wir die Diagnose eines chronischen Subduralhämatoms im Rahmen eines Zufallsbefundes gestellt und der Patient zeigt sich ohne Symptome. Sollte in solch einem Fall auch die Ausdehnung des Hämatoms gering sein, kann eine konservative Therapie ebenfalls eine Möglichkeit sein.

Operative Versorgung

Bohrlochtrepanation und Kraniotomie

Die operative Entfernung eines chronischen Subduralhämatoms gehört zu den häufigsten neurochirurgischen Eingriffen. Hierbei wird überlicherweise an der betroffenen Seite mittels eines Trepan zwei Bohrlöcher angelegt, über welche man das chronifizierte Hämatom ausspülen kann. In manchen Fällen sind stark ausgeprägte Septen zwischen den flüßigen Hämatomanteilen, welche die Operation deutlich erschweren. Die angebrachten Bohrlöcher an der Schädelkalotte werden üblicherweise aus ästhetischen Gründen lediglich mit einer Titanplatte abgedeckt, um das Einfallen der Haut an dieser Stelle zu verhindern. In seltenen Fällen lassen sich die Hämatomanteile nicht wie gewünscht über die angelegten Bohrlöcher entfernen und es muss eine Erweiterung der Operation mit einer Kraniotomie stattfinden. Der Eingriff kann in Vollnarkose oder auch falls notwendig in Lokalanästhesie durchgeführt werden. Auch im hohen Alter profitieren die meisten Patienten sehr gut von der Operation und erholen sich sehr rasch von dem Eingriff.

Operationsrisiken

Embolisierung der Arteria meningea media

Bei Patienten, bei welchen eine operative Versorgung mittels Bohrlochtrepanation oder Kraniotomie nicht die Therapie der ersten Wahl darstellt, kann eine endovaskuläre Embolisierung der Arteria meningea media als Therapie durchgeführt werden. Neomembrane eines chronischen Subduralhämatoms beinhalten eine Neovaskularisierung, welche zu Rezidivblutungen nach einer chirurgischen Entfernung beitragen13. Bei der Embolisierung der Meningea media sollte möglichst versucht werden, ophthalmische Kollaterale zu vermeiden.

Medikamentöse Behandlung

Auf Grund der inflammatorischen Pathogenes von chronischen Subduralhämatomen wurden auch Therapien mit Dexamethason zur Behandlung von chronischen Subduralhämatomen untersucht. In einer multizentrischen Studie mit 748 Patienten konnte gezeigt werden, dass eine zusätzliche Behandlung mit Dexamethason zu einem schlechteren Outcome und häufigeren Komplikationen führt, jedoch zu weniger Rezidivoperationen14.

Outcome

Auch Patienten im höheren Alter profitieren oft sehr gut von der Operation, da der Eingriff unter Umständen bei Risikopatienten auch unter Lokalanästhesie durchgeführt werden kann. Die Mortalität bei einer operativen Versorgung eines chronischen Subduralhämatoms liegt bei ca. 0.5-8 % in der Literatur15 16. Die 1-Jahres Mortalität bei einem chronischen Subduralhämatom liegt bei etwa 32 %17.

Referenzen



    1. Kudo H, Kuwamura K, Izawa I, Sawa H, Tamaki N: Chronic subdural hematoma in elderly people: present status on Awaji Island and epidemiological prospect. Neurol Med Chir (Tokyo) 32:207–209, 1992    

    2. Handbook of Neurosurgery. Greenberg M, ed. 9th Edition. Thieme; 2019.                            

    3. Labadie EL, Sawaya R. In: Fibrinolysis in the Formation and Growth of Chronic Subdural Hematomas. Fibrinolysis and the Central Nervous System. Philadelphia: Hanley and Belfus; 1990:141-148.    

    4. Drapkin AJ. Chronic Subdural Hematoma: Pathophysiological Basis of Treatment. Br J Neurosurg. 1991;5:467-473.    

    5. Buch: Neurosurgical Knowledge Update - A comprehensive review. Robert E. Harbaugh et al. Thieme Verlag.            

    6. Ogasawara K, Koshu K, Yoshimoto T, et al. Transient Hyperemia Immediately After Rapid Decompression of Chronic Subdural Hematoma. Neurosurgery. 1999;45:484-489.        

    7. Hutchinson, Peter J., et al. "Trial of Dexamethasone for Chronic Subdural Hematoma." New England Journal of Medicine (2020).    

    8. Sambasivan M. An Overview of Chronic Subdural Hematoma: Experience with 2300 Cases. Surg Neurol. 1997;47:418-422.