Akutes Subduralhämatom

Zuletzt bearbeitet von Alaric Steinmetz am

Synonyme: Acute subdural hematoma, aSDH

ICD-10: S06.5

Ein akutes Subduralhämatom tritt in den meisten Fällen nach einem Trauma1 auf und zählt je nach Ausprägung des Blutvolumens zu den neurochirurgischen Notfällen, welche eine sofortige Behandlung erfordern. Hierbei kommt es zu einer Einblutung zwischen dem Gehirn und der harten Hirnhaut.

Ursachen

In den allermeisten Fällen entsteht ein akutes Subduralhämatom durch eine direkte traumatische Einwirkung auf den Schädel und eine dadurch entstehende Beschädigung der Brückenvenen2, woraufhin es zu einer venösen Einblutung unterhalb der harten Hirnhaut kommt. Mit zunehmender Einblutung kommt es zu einer Kompression und Verdrängung des Gehirngewebes zur Gegenseite und somit zu einer lebensbedrohlichen Situation.

In deutlich selteneren Fällen kann ein akutes Subduralhämatom auch atraumatisch durch eine zu schnelle lumbale Drainage von Liquor, wie beispielsweise bei einer Lumbaldrainage3 oder einem operativ entstandenem Liquorleck[^3] entstehen. Hierbei kommt es zu einem intrakraniellen Unterdruck, welche zu einer Beschädigung der Brückenvenen und somit zu einer Einblutung führen kann.

Diagnose

Der Goldstandard in der Diagnostik eines akuten Subduralhämatoms ist eine CT-Bildgebung. Die Diagnose kann jedoch ebenfalls problemlos im MRI gestellt werden.

Klinisch kann sich ein akutes Subduralhämatom je nach Ausprägung unterschiedlich manifestieren. Bei einer deutlich raumfordernden Wirkung der Blutung kommt es in den meisten Fällen zu einer Vigilanzminderung, welche sehr unterschiedlich ausgeprägt sein kann. Ebenso typisch ist ein Hemisyndrom zur kontralateralen Seite der Blutung. Sollte es sich um nur ein sehr schmales Hämatom handeln, können sich diese in vielen Fällen auch durch epileptische Anfälle zum ersten Mal symptomatisch zeigen.

Akutes Subduralhämatom im CT
Ein akutes rechtsseitiges Subduralhämatom im Schädel CT.

Hyperakutes Subduralhämatom
Traumatische hyperaktus Subduralhämatom rechtsseitig im CT.

Lokalisation

Ein akutes Subduralhämatom kann theoretisch an allen Stellen im Subduralraum vorkommen. Traumatisch bedingte Subduralhämatome sind am häufigsten im Bereich der Konvexität, interhemisphärisch und als auch tentoriell zu finden.

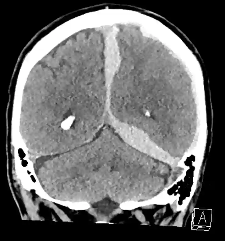
Interhemisphärisches Subduralhämatom
Coronares CT Bild eines Patienten mit einem akuten interhemisphärischen und tentoriellem akuten Subduralhämatom.

Konservative Therapie

Bei sehr schmalen akuten Subduralhämatomen ohne Verlagerung der Mittellinie sowie bei fehlenden neurologischen Ausfällen und asymptomatischen Patienten kann auch eine konservative Therapie ohne Operation erfolgen45. Sollte eine konservative Therapie gewählt werden, empfiehlt sich eine Verlaufsbildgebung, um eine weitere Zunahme des Hämatoms als auch eine Chronifizierung auszuschließen.

Operative Versorgung

Bei klinisch symptomatischen Patienten sowie ausgeprägten akuten Subduralhämatomen mit Mittellinienverlagerung ist eine operative Entfernung des Hämatoms indiziert. Hierbei erfolgt eine Kraniotomie über dem Hämatom sowie Eröffnung der Dura mit anschliessendem Entfernen des Hämatoms. Normalerweise erfolgt eine Wiedereinlage des entfernten Knochendeckels. In Situationen wo sich intraoperativ ein deutlich erhöhter Hirndruck zeigt, kann ebenfalls der Knochendeckel nicht wieder eingesetzt werden im Sinne einer dekompressiven Hemikraniektomie6. Der Eingriff wird in Vollnarkose durchgeführt.

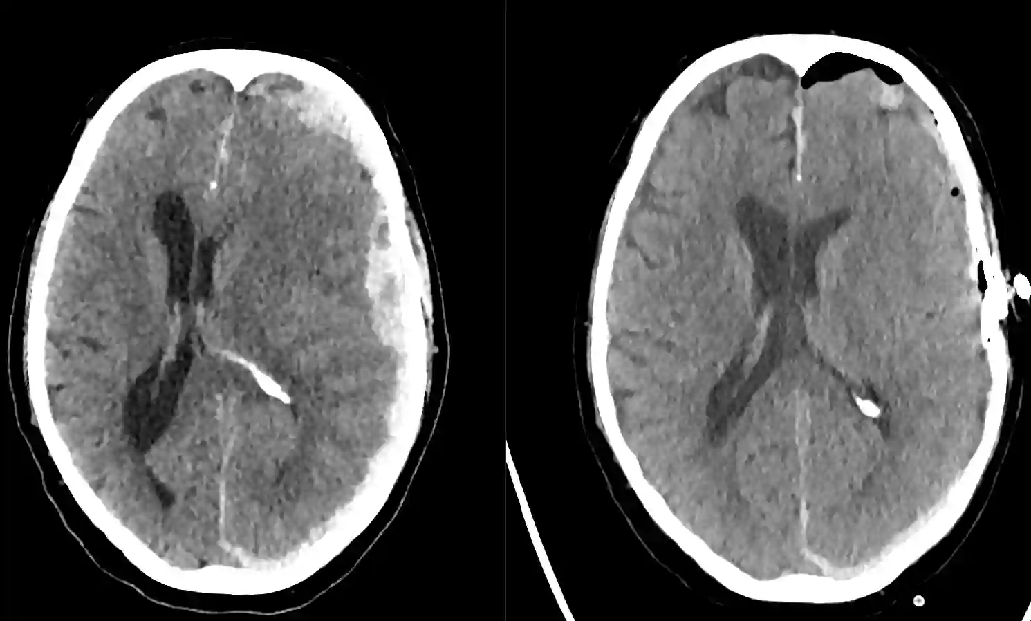
Akutes Subduralhämatom vor und nach Operation
Axiales CT Bild eines akuten Subduralhämatoms auf der linken Seite. Links vor der Operation und rechts nach durchgeführter Kraniotomie und Hämatomentlastung.

Prognostische Outcomefaktoren

Das akute Subduralhämatom gehört zu den schwerwiegenden traumatischen neurochirurgischen Krankheitsbilder. Das Outcome der Patienten hängt von vielen Faktoren ab. Ein signifikant negativer Einfluss auf das Outcome konnte bei folgenden Faktoren gezeigt werden: Motorradunfall als Verletzungsmechanismus, Patientenalter über 65, GCS von 3 bis 4 bei Ankunft im Traumazentrum und ein postoperativer ICP von > 45 mmHg7.

von 3 bis 73-7 zeigte sich eine Mortalität von 66 % und einer funktionellen Erholung von 19 % bei den Patienten, welche aufgrund einem akuten Subduralhämatom operiert werden mussten8.

In der Studie von Wilberger et al. aus dem Jahr 19919 konnte das Outcome nach initialem GCS und Alter anhand von 101 Patienten wie folgt stratifiziert werden.

Outcome Stratifizierung nach GCS

GCS Outcome Mortalität10 Funktionelle Erholung11
3 90 % 5 %
4 76 % 10 %
5 62 % 18 %
6-7 51 % 44 %

Outcome Stratifizierung nach Alter

Stratifizierung des Outcomes nach Alter bei einem initialen GCS von 3 bis 712.

Alter Outcome Mortalität Funktionelle Erholung
34 54,3 % 31,4 %
35-50 61,9 % 23,8 %
51-65 70,6 % 11,8 %
>65 82,1 % 3,6 %

Ebenso spielt die Zeit bis zur Operation eine wichtige prognostische Rolle. 1981 konnte gezeigt werden, dass bei Patienten, welche innerhalb von 4 Stunden nach dem Trauma bei einem akuten Subduralhämatom operiert wurde hatten eine Mortalität von 30 %, wohin Patienten, welche mehr als 4 Stunden bis zur Operation benötigten eine Mortalität von 90 % hatten13.

Referenzen



    1. Gennarelli T, Thibault L. Biomechanics of acute subdural hematoma. J Trauma. 1982;22(8):680-686.       

    2. Dardik A, Perler B, Roseborough G, Williams G. Subdural hematoma after thoracoabdominal aortic aneurysm repair: an underreported complication of spinal fluid drainage? J Vasc Surg. 2002;36(1):47-50..
      [^3 ]: Sciubba D, Kretzer R, Wang P. Acute intracranial subdural hematoma following a lumbar CSF leak caused by spine surgery. Spine (Phila Pa 1976). 2005;30(24):E730-2   

    3. Croce M, Dent D, Menke P, et al. Acute subdural hematoma: nonsurgical management of selected patients. J Trauma. 1994;36(6):820-826; discussion 826-7   

    4. Bender MB, Christoff N. Nonsurgical Treatment of Subdural Hematomas. Archives of Neurology. August 1974:73-79.    

    5. Ransohoff J, Benjamin MV, Gage EL, Epstein F. Hemicraniectomy in the management of acute subdural hematoma. Journal of Neurosurgery. January 1971:70-76.    

    6. Wilberger, Jack E., Mark Harris, and Danial L. Diamond. "Acute subdural hematoma: morbidity, mortality, and operative timing." Journal of neurosurgery 74.2 (1991): 212-218.                        

    7. Seelig, John M., et al. "Traumatic acute subdural hematoma: major mortality reduction in comatose patients treated within four hours." New England Journal of Medicine 304.25 (1981): 1511-1518.