Keilbeinflügelmeningeom
Zuletzt bearbeitet von Alaric Steinmetz am
Synonyme: Sphenoid Wing Meningioma
ICD-10: D42.-
ICD-11: 2A01.0
Keilbienflügelmeningeome sind Meningeome, welche von der Dura des Os sphenoidale ausgehen.
Epidemiologie
Keilbeinflügelmeningeome sind die dritthäufigsten Meningeome und machen etwa 15-20 % aller intrakraniellen Meningeome aus[^2]. Diese Tumore treten am häufigsten im vierten Lebensjahrzehnt auf, und wie bei Meningeomen an anderen Stellen sind Frauen häufiger betroffen[^3].
Symptome
Die häufigsten Symptome, welche zu einer Erstdiagnose führen sind, Kopfschmerzen, Krampfanfälle und Sehbeschwerden. Die en plaque hyperostosierenden Formen treten fast ausschließlich bei Frauen auf und zeigen einen schmerzlosen, einseitigen Exophthalmus[^3].
Einteilung
Keilbeinflügelmeningeom können globulär oder en-plaque wachsen[^3] und nach Cushing in drei Gruppen unterteilt werden[^1]:
Lateral oder pterional | Mittig | Medial oder clinoidal |
Häufigeres Vorkommen von en plaque Meningiomen | Oft großes Tumorvolumen vor Diagnose bzw. Symptomen | Nervus opticus und Nervus oculomotorius sind häufig früh betroffen. |
Gehäufte Assoziation von Kopfschmerzen | Erhöhte Assoziation mit epileptischen Anfällen | Chirurgisch anspruchsvoller, mit geringerer Aussicht auf vollständige Resektion |
Gefäßversorgung aus Ästen der ethmoidalen Arterien | Gefäßversorgung durch Äste der Arteria pharyngea ascendens, Äste der Arteria ophthalmica über die Fissura orbitalis superior |
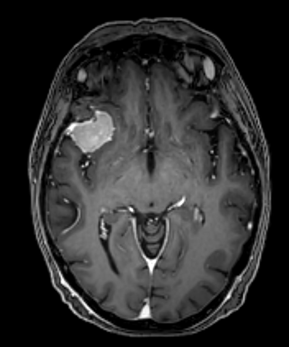
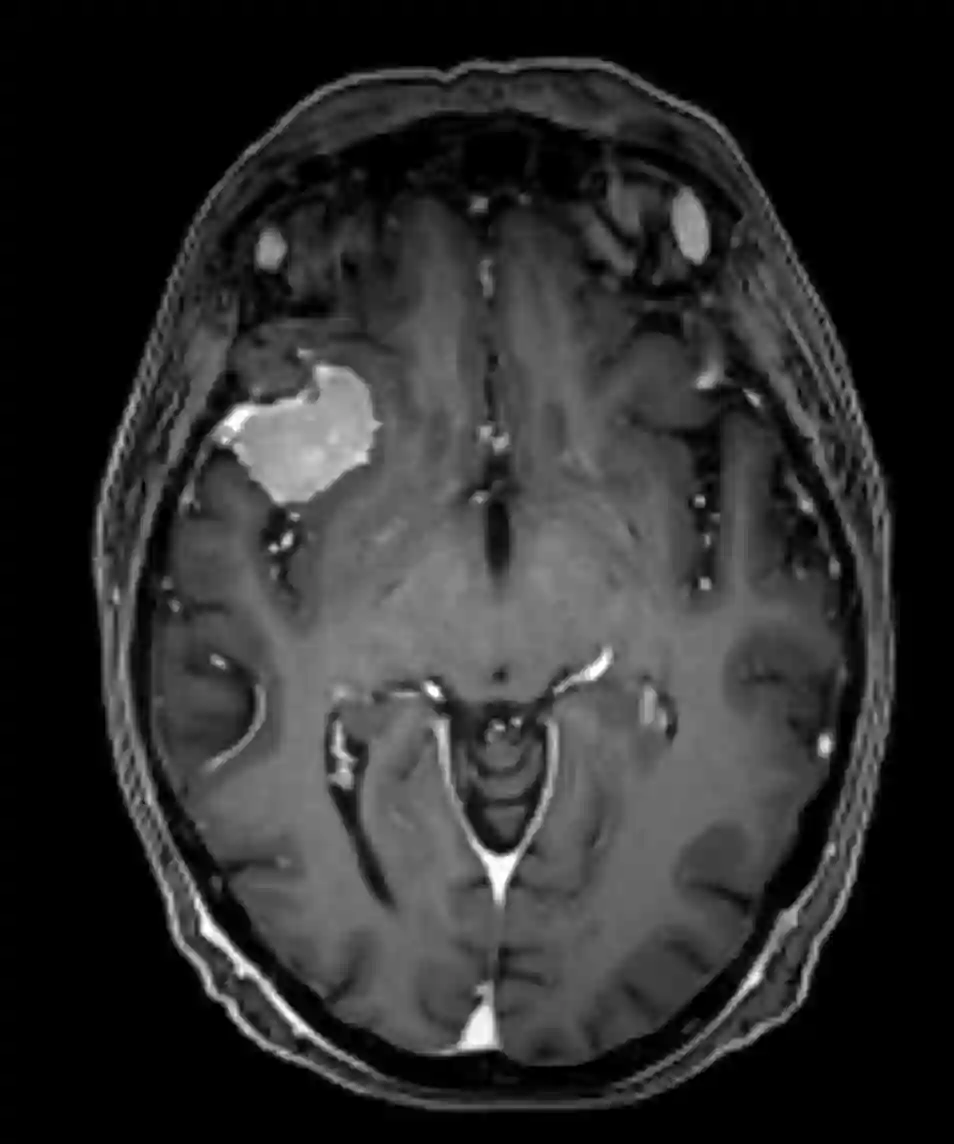
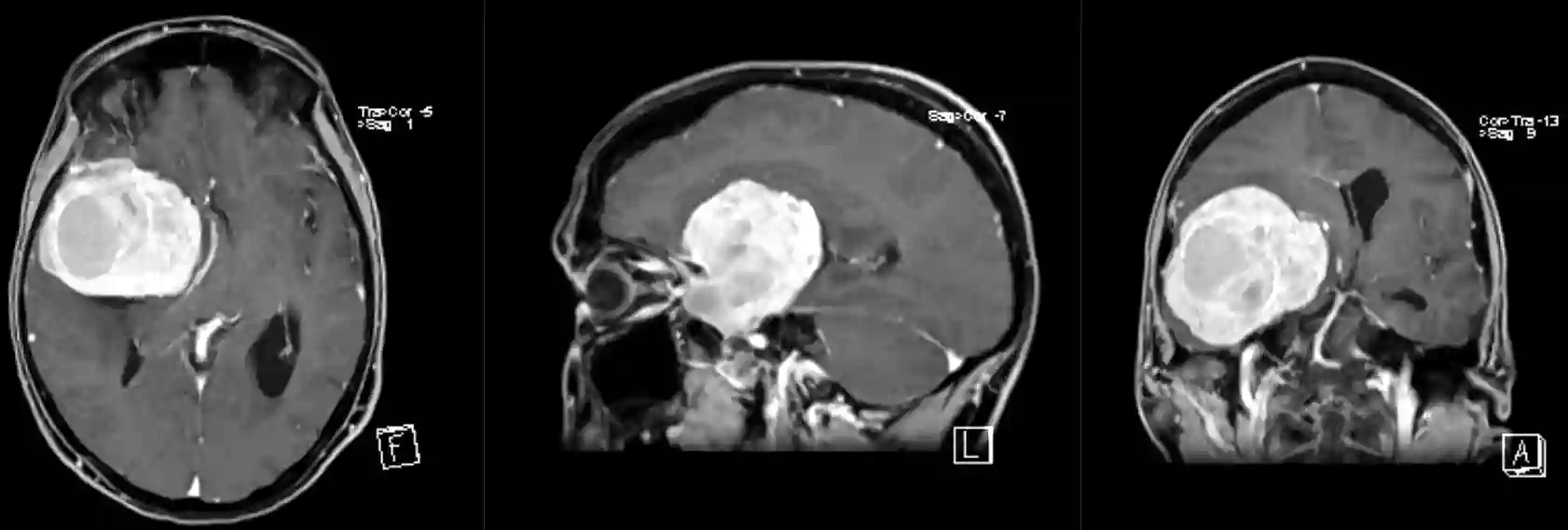
Bildgebung
Der Goldstandard in der Beurteilung von Keilbeinflügelmeningeomen ist die MR-Bildgebung, welche je nach Tumor durch eine CT-Bildgebung zur Beurteilung der ossären Strukturen ergänzt werden kann. In einzelnen Fällen kann eine zerebrale Angiographie indiziert sein, um gegebenenfalls eine präoperative Embolisierung der Gefäßversorgung des Tumors durchzuführen.


Behandlung
Die Behandlung von Keilbeinflügelmeningeomen umfasst die Beobachtung mit regelmäßigen bildgebenden Nachuntersuchungen, mikrochirurgische Resektion, Radiochirurgie und/oder Strahlentherapie[^3].