Nervus opticus

Zuletzt bearbeitet von Alaric Steinmetz am

Synonyme: Sehnerv, Optic nerve, CN II

Der Nervus opticus ist der zweite Hirnnerv und ermöglicht das Sehen durch Weiterleitung der in der Retina entstehenden Erregungen in das Gehirn.

Anatomie

Der Nervus opticus zieht beidseits vom Bulbus oculi durch den Canalis opticus zum Chiasma opticum an der Hirnbasis[^1]. Aus dem Chiasma opticum treten die beiden Tractus optici hervor, die um die Hirnschenkel herum beidseits zum Corpus geniculatum laterale verlaufen.

Abbildung

Nervus opticus schematisch
Schematische anatomische Zeichnung des Nervus opticus. Abbildung adaptiert von Habal MB et al. 1977.

Klinische Testung

Zur Überprüfung des Nervus opticus gehören die Beurteilung des Visus, des Gesichtsfelds und des Augenfundus.

Bildgebung

Der Nervus opticus als auch das Chiasma opticum kann in einer MRT Bildgebung dargestellt werden.

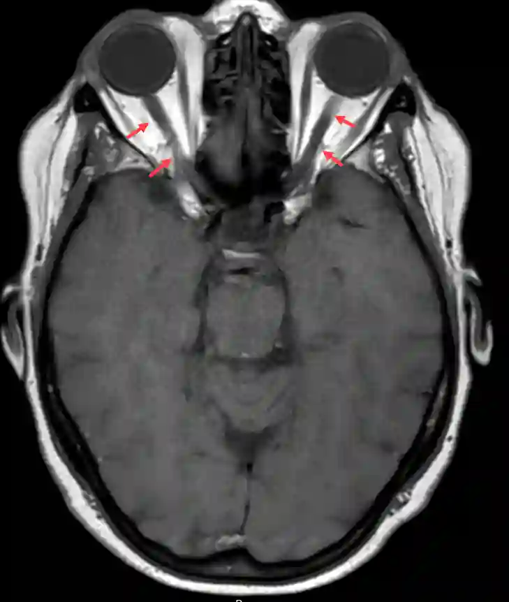
Nervus opticus MRT
Darstellung des Nervus opticus in einer axialen T1 MRI Sequenz.

Intraoperativ

Intraoperativ dient der Nervus opticus als wichtige anatomische Orientierung bei neurochirurgischen Eingriffen.

Nervus opticus intraoperativ
Darstellung des linken Nervus opticus über einen modifizierten linksseitig lateralen supraorbitalen Zugang (modifizierter LSO).