Hypophysenadenom
Zuletzt bearbeitet von Alaric Steinmetz am
ICD-11: XH94U0
Hypophysenadenome gehören zu den Adenomen, einer Gruppe gutartiger Tumore, und entstehen aus dem Gewebe der Adenohypophyse. Eine chirurgische Entfernung des Tumors ist nicht in allen Fällen notwendig. Die Einteilung in ein Hypophysenmakro- oder Mikroadenom erfolgt nach der Größe[^2].
Einteilung
Größe | Bezeichnung |
< 3 mm | Hypophysenpicoadenom[^3] |
< 10 mm | Hypophysenmikroadenom |
~ 10 mm | |
≥ 10 mm | Hypophysenmakroadenom |
Hormonaktive Hypophysenadenome
Etwa 65 % der Hypophysenadenome sind hormonaktive Adenome, wobei 48 % Prolaktin, 10 % Wachstumshormon, 6 % ACTH und 1 % TSH produzieren[^1]
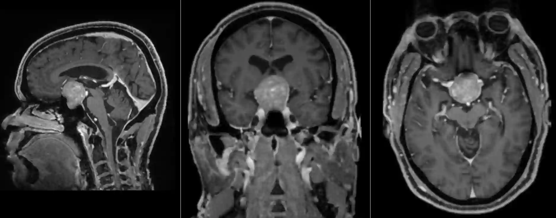
Masseneffekt durch Hypophysenmakroadenome
Folgende Strukturen sind häufig durch einen Masseneffekt von Hypophysenmakroadenome betroffen:
Chiasma opticum: Folglich dadurch kann eine bitemporale Hemianopsie entstehen als auch Verschlechterung der Sehschärfe verursacht werden.
Dritter Ventrikel: Durch eine Kompression des dritten Ventrikels kann es zu einem obstruktiven Hydrocephalus.
Sinus cavernosus: Folglich kann es zu Ausfällen der im Sinus cavernosus verlaufenden Hirnnerven kommen.
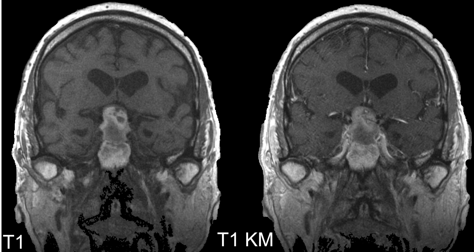
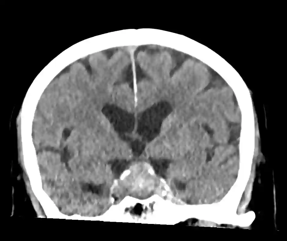
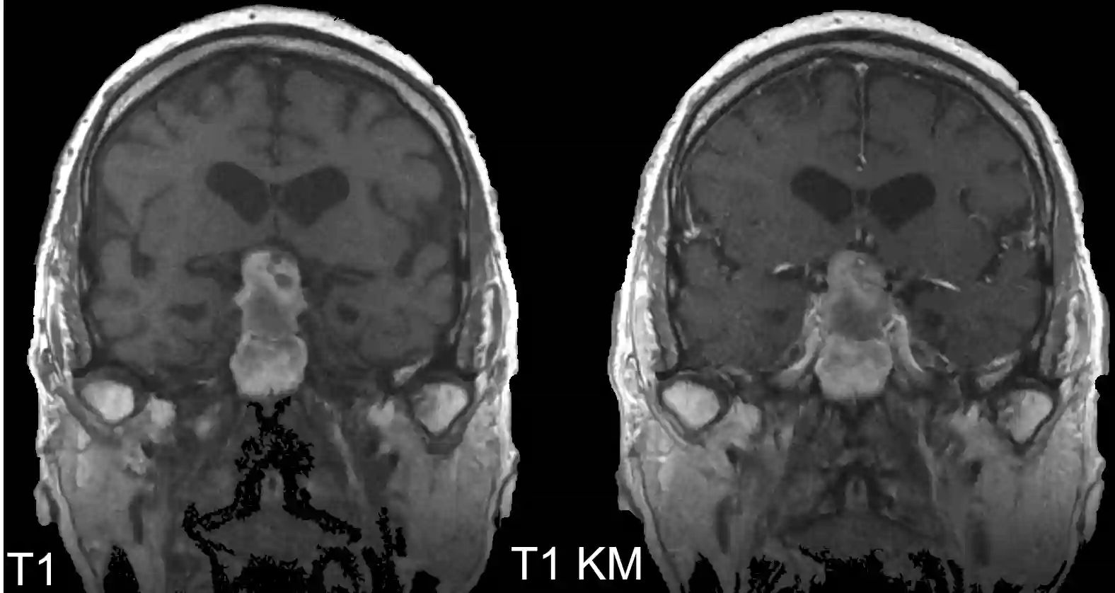
Bildgebung
MRT
Der Goldstandard zur bildgebenden Diagnostik von Hypophysenadenome ist die MRT Bildgebung.



CT
Je nach Größe können Hypophysenadenome auch in einer CT Bildgebung dargestellt werden.
