Arteria cerebri anterior

Zuletzt bearbeitet von Alaric Steinmetz am

Synonyme: ACA, Anterior cerebral artery, A. cerebri anterior

Die Arteria cerebri anterior (ACA) ist eines der drei arteriellen Hauptgefäße des Gehirns. Sie entspringt im Bereich des Circulus arteriosus cerebri an der Hirnbasis aus der Arteria carotis interna.

Einteilung

Die ACA kann je nach Klassifikation in verschiedene Segment unterteilt werden. Die hier verwendete Einteilung richtet sich nach der Einteilung von Rhoton1. Diese teilt die Arteria cerebri anterior in ein proximalen (A1) und distalen Anteil (A2-5) ein2. Der proximale Anteil (Pars precommunicalis) verläuft bis zum Abgang der Arteria communicans anterior und geht hier in den distalen Anteil (Pars postcommunicalis) über.

Segment Verlauf Arterienabgänge
A1 Vom Abgang aus der ICA bis zur ACOM Heubner Arterie
Ca. 8 basale Perforatoren
A2 (infracallosal) ACOM bis Ende Rostrum des Corpus callosum.
A3 (precallosal) Genu des Corpus callosum bis zur Abbiegung nach posterior.
A4 (supracallosal) Überhalb des Corpus callosum bis zur Sutura coronalis in der lateralen Ansicht.
A5 (posterocallosal) Beginnenden von der Sutura coronalis

Schematische Abbildung der Arteria cerebri anterior
Schematische Abbildung der Aufzweigung der Arteria cerebri anterior. Abbildung adaptiert von Perlmutter et al. 1978.

Anatomischer Verlauf

Der Verlauf der Arteria cerebri anterior kann nach Rhoton in fünf verschiedene Segmente eingeteilt werden3.

A1 Segment

Die Arteria cerebri anterior ist zusammen mit der Arteria cerebri media der Endast der Arteria carotis interna und stellt von beiden Endästen das schmälere Gefäß dar. Sie entspringt am medialen Ende der Sylvischen Fissur und lateral des Chiasma opticum und verläuft dann anteromedial über dem Nervus opticus und medial der Stria olfactoria medialis, um in die Fissura longitudinalis cerebri zu gelangen. Nahe dem Eingang in die Fissur wird sie über die Arteria communicans anterior mit der kontralateralen Arteria cerebri anterior verbunden. Das A1 Segment hat eine durchschnittliche Länge von 12,7 mm4.

ACA A1 Segment
Abbildung des A1 Segments. Adaptiert von Rhoton's Cranial Anatomy and Surgical Approaches.

A2 Segment

Das A2 Segment (Infracallosales Segment) beginnt bei der Arteria communicans anterior und verläuft nach anterior zur Lamina terminalis und hört am Übergang des Rostrum und Genu des Corpus callosum auf.

ACA A2 Segment
Abbildung des A2 Segments. Adaptiert von Rhoton's Cranial Anatomy and Surgical Approaches.

A3 Segment

Das A3 Segment (Precallosales Segment) erstreckt sich über das Genu des Corpus callosum bis zu jenem Punkt, wo die Arterie stark nach posterior abbiegt über dem Genu des Corpus callosum.

A3 Segment ACA
Abbildung des A3 Segments. Adaptiert von Rhoton's Cranial Anatomy and Surgical Approaches.

A4 Segment

Das A4 Segment (supracallosale Segment) ist oberhalb des Corpus callosum lokalisiert und hört in der lateralen Ansicht kurz nach der Sutura coronalis auf.

A5 Segment

Das A5 Segment (postcallosales Segment) fängt in der lateralen Ansicht kurz nach der Sutura coronalis

Bildgebung

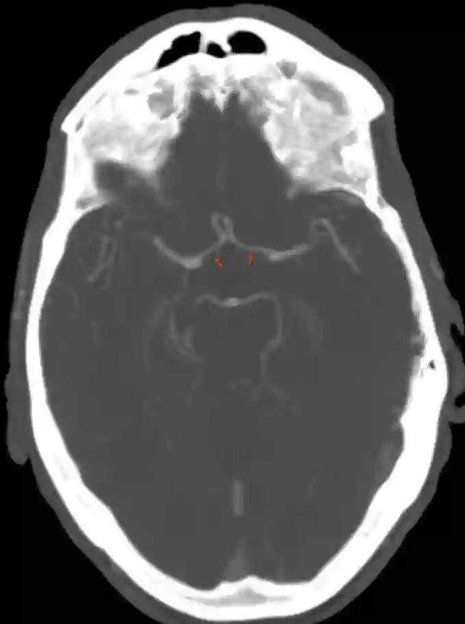
Arteria cerebri anterior in der CT Angiographie
CT Angiographie der Arteria cerebri anterior (A1 Segment, roter Pfeil)

Arteria cerebri anterior DSA
Darstellung des Verlaufs der Arteria cerebri anterior (roter Pfeil) in einer lateralen digitalen Subtraktionsangiographie (DSA).

Referenzen



    1. Rhotons Cranial Anatomy and Surgical Approaches. Jr. Rhoton Albert L. 2020. Oxford University Press Inc. ISBN 978-0-19-009850-6