Das Corpus callosum ist eine quer verlaufende Faserverbindung zwischen den beiden Großhirnhemisphären und bildet den größten Teil des Kommissurensystems.
Anatomie
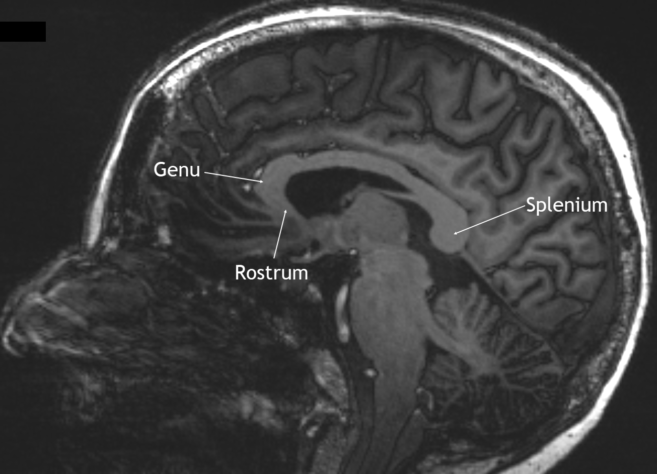
Das Corpus callosum wird anatomisch in drei Teile gegliedert: Rostrum, Genu und Splenium.
Rostrum corporis callosi
Als Rostrum corporis callosi bezeichnet man den anterioren, dünn auslaufenden Abschnitt des Corpus callosum unterhalb des Genu corporis callosi. Es steht mit der Commissura anterior und der Lamina terminalis in Verbindung.
Genu corporis callosi
Das Genu corporis callosi ist der vordere, den beiden Frontallappen zugewandte Teil des Corpus callosum, der in das Rostrum corporis callosi ausläuft.
Splenium corporis callosi
Das Splenium corporis callosi beschreibt den hinteren verdickten Abschnitt des Corpus callosum.
Abbildung
Schematische Abbildung des Corpus callosum in einer Ansicht von oben. Abbildung adaptiert von Sobotta.
Bildgebung
Darstellung des Corpus callosum mit seinen verschiedenen Abschnitten im sagittalen 7 Tesla MRI in einer T1 Sequenz mit Kontrastmittel.
Klinische Relevanz
Häufige Läsionen welche sich im Corpus callosum manifestieren sind Lymphome, Multiple Sklerose Plaques, Lipome oder Diffuse axonale Verletzungen nach einem Trauma1.
Referenzen
Corpus callosum lesions. In: Greenberg M, ed. Handbook of Neurosurgery. 9th Edition. Thieme; 2019. ↩↩↩↩
Corpus Callosum
Schematische Abbildung des Corpus callosum in einer Ansicht von oben. Abbildung adaptiert von Sobotta.
Corpus callosum im MRI
Darstellung des Corpus callosum mit seinen verschiedenen Abschnitten im sagittalen 7 Tesla MRI in einer T1 Sequenz mit Kontrastmittel.