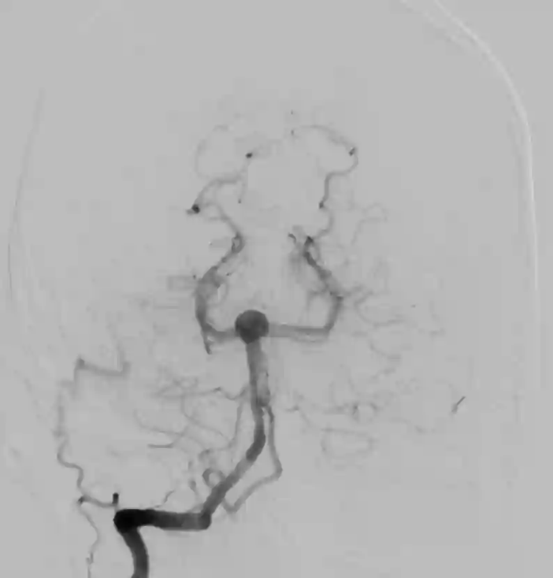
Basilarisspitzenaneurysma
Zuletzt bearbeitet von Alaric Steinmetz am
Synonyme: Basilar tip aneurysm, Basilariskopfaneurysma
ICD-10: I67. 1
ICD-11: 8B22.5
Basilarisspitzenaneurysmen, auch als Basilariskopfaneurysmen bekannt, sind eine spezielle Form von Aneurysmen, die sich am Ende der Arteria basilaris entwickeln.
Anatomie
Die Basilarisspitze befindet sich innerhalb der Cisterna interpeduncularis. Basilarisspitzenaneurysmen bilden sich offenbar besonders häufig, wenn der Winkel zwischen den Abzweigungen der Arteria cerebri posterior größer ist und der Durchmesser der Arteria basilaris kleiner [^1].
Epidemiologie
Basilarisspitzenaneurysmen machen etwa 50 % der Aneurysmen in der hinteren Zirkulation aus und werden typischerweise zwischen dem 50 bis 60 Lebensjahr diagnostiziert[^2].
Rupturrisiko
Eine Studie mit 445 Patienten aus Japan konnte folgende jährliche Rupturrate für Basilarisspitzenaneurysmen zeigen[^3]:
Aneurysmagröße in mm | Jährliches Rupturrisiko in % |
3-4 mm | 0,23 % |
5-6 mm | 0,46 % |
7-9 mm | 0,97 % |
10 - 24 mm | 6,94 % |
≥ 25 mm | 17,82 % |
Bildgebung
Der Goldstandard in der Diagnose von Basilarisspitzenaneurysmen ist die digitale Subtraktionsangiographie.


Behandlung
Die Behandlung eines Basilarisspitzenaneurysmas erfolgt in den meisten Fällen endovaskulär und nicht mikrochirurgisch[^4] [^5] [^6].

Videos
-
FOCVID21152.mp4 190.87 MB
- Video Beschreibung
- Video einer endovaskulären Versorgung eines Basilarisspitzenaneurysmas mit einem WEB Device.
- Lizenz
- CC BY 4.0