Nervus trigeminus

Zuletzt bearbeitet von Alaric Steinmetz am

Synonyme: Trigeminal nerve

ICD-11: XA72G0

Der Nervus Trigeminus ist der 5. Hirnnerv und insbesondere für die Sensibilität im Gesicht verantwortlich.

Anatomie

Der Nervus trigeminus tritt im Bereich der Pons aus dem Hirnstamm aus.

Er teilt sich in drei Teile auf: Nervus ophthalmicus (V1), Nervus maxillaris (V2) und Nervus mandibularis (V3).

Ast des Nervus trigeminus

Knöcherner Durchtrittsort an der Schädelbasis.

Nervus ophthalmicus

Foramen supraorbitale

Nervus maxillaris

Foramen rotundum

Nervus mandibularis

Foramen ovale

Nervus trigeminus retrosigmoidal
Darstellung des Nervus trigeminus und der Anatomie des Kleinhirnbrückenwinkels in der Ansicht eines retrosigmoidalen Zugangs. Abbildung adaptiert von Rhoton Jr Albert L. The cerebellopontine angle and posterior fossa cranial nerves by the retrosigmoid approach. Neurosurgery 47.3 (2000) S93-S129.

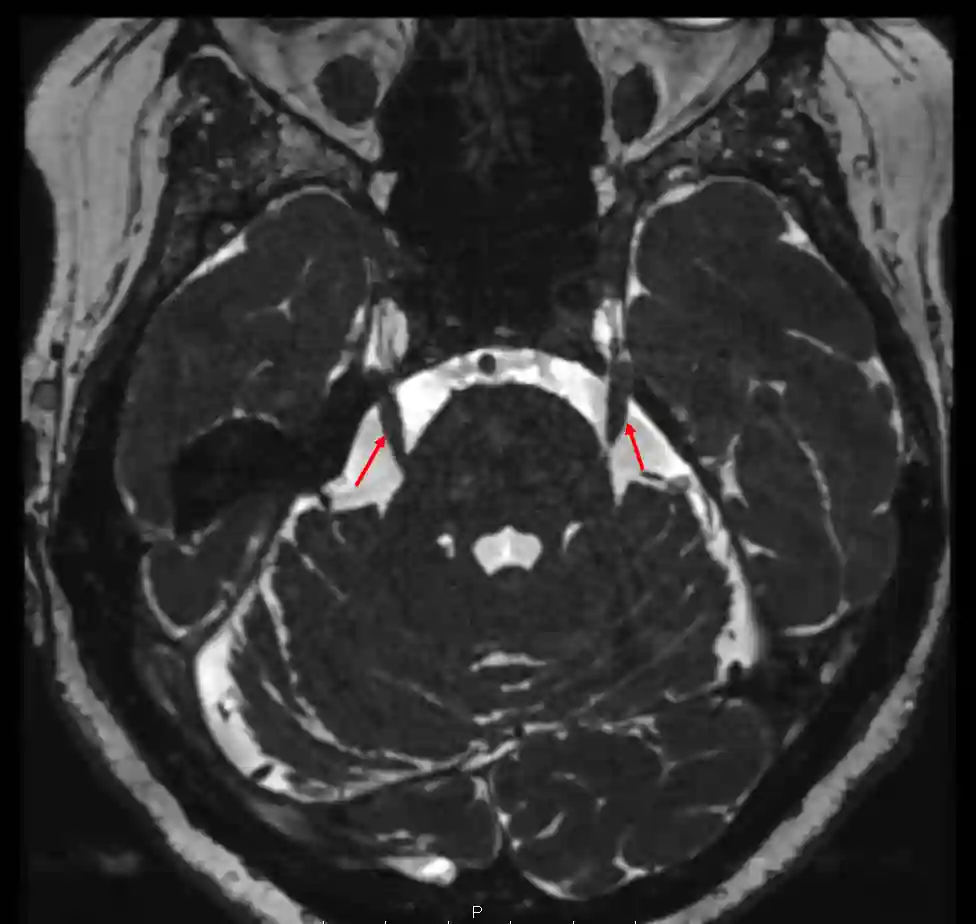
Bildgebung

Nervus trigeminus im MRI
Darstellung des Nervus trigeminus in einer axialen CISS Sequenz im MRI.

Klinische Relevanz

Neurochirurgisch spielt der Nervus trigeminus, insbesondere bei der Trigeminusneuralgie eine relevante Rolle.