Kleinhirnbrückenwinkel

Zuletzt bearbeitet von Alaric Steinmetz am

Synonyme: KHBW

Der Kleinhirnbrückenwinkel ist eine anatomische Nische zwischen dem Hirnstamm und dem Cerebellum.

Chirurgischer Zugang

Der klassische und häufigst verwendete Zugang zum Kleinhirnbrückenwinkel ist über eine retrosigmoidale Kraniotomie.

Pathologien

Im Bereich des Kleinhirnbrückenwinkels treten viele neurochirurgisch relevante Pathologien auf, wie beispielsweise:

Abbildung

Anatomie Kleinhirnbrückenwinkel
Anatomische Abbildung des Kleinhirnbrückenwinkels. Abbildung adaptiert von A. Rhoton aus: he Cerebellopontine Angle and Posterior Fossa Cranial Nerves by the Retrosigmoid Approach.

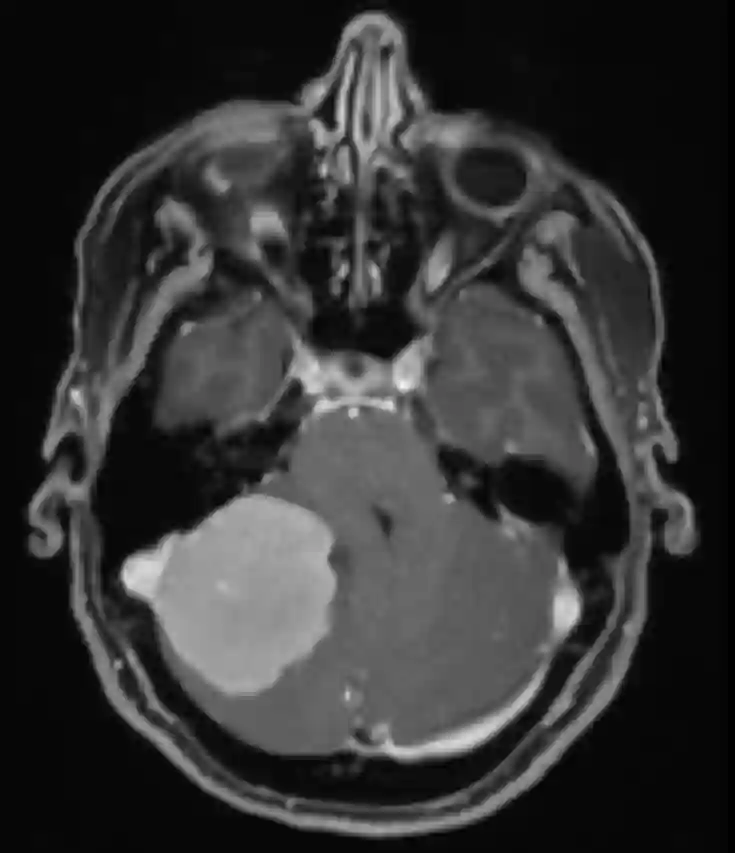
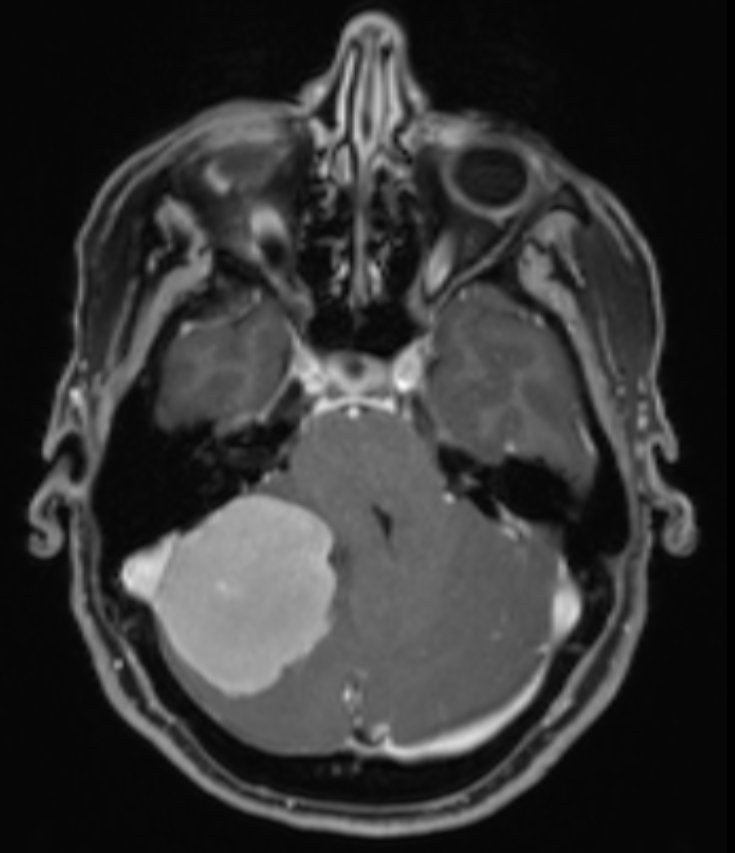
Bildgebung

Kleinhirnbrückenwinkel Meningeom MRI
MRI eines Meningeoms im Kleinhirnbrückenwinkel auf der rechten Seite.