Hygrom
Zuletzt bearbeitet von Alaric Steinmetz am
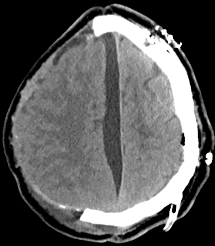
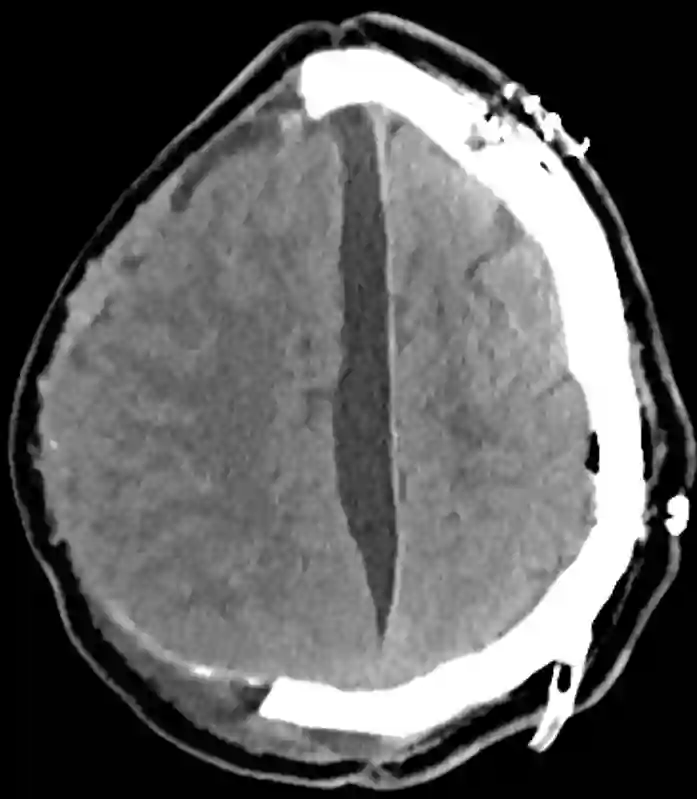
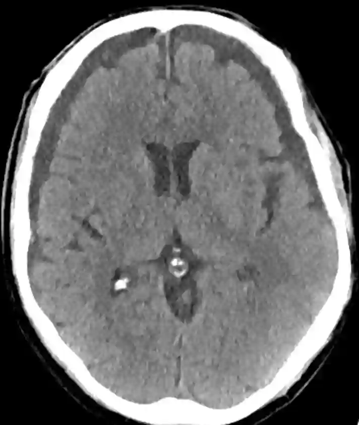
Ein Hygrom ist eine medizinische Bezeichnung für eine Ansammlung von Flüssigkeit, die in verschiedenen Körperregionen auftreten kann. In der Neurochirurgie ist das subdurale Hygrom von besonderer Bedeutung. Es handelt sich hierbei um eine Flüssigkeitsansammlung, die sich zwischen der harten Hirnhaut (Dura mater) und der Spinnwebenhaut (Arachnoidea) des Gehirns bildet. Diese Art von Hygrom zeigt oft in bildgebenden Verfahren ein Erscheinungsbild, das stark einem chronischen Subduralhämatom ähnelt.
Ursache
Hygrome können aus verschiedenen Gründen entstehen.
Eine der häufigsten Ursachen ist ein Schädelhirntrauma Dies kann beispielsweise durch einen Sturz, einen Verkehrsunfall oder auch durch Sportverletzungen geschehen[^1].
Ein weiterer wichtiger Faktor bei der Entstehung von Hygromen ist die Liquordynamik. In einigen Fällen kann es bei Patienten mit einer Liquorableitung, wie zum Beispiel einem ventrikuloperitonealen Shunt (VP-Shunt), zu Komplikationen kommen. Ein VP-Shunt ist ein chirurgisch eingesetzter Katheter, der dazu dient, überschüssigen Liquor aus dem Ventrikelsystem in andere Körperregionen abzuleiten, um so den intrakraniellen Liquordruck zu reduzieren. Ist dieser Shunt nicht richtig eingestellt und leitet zu viel Liquor ab, kann dies zu einer Unterdrainage führen, die wiederum ein Hygrom verursachen kann[^2].
Hygrome können auch postoperativ entstehen, insbesondere nach Eingriffen am Schädel. Bei solchen Operationen können Veränderungen in der Dynamik des Liquors auftreten, die zur Bildung eines Hygroms führen können[^3].
Bildgebung
In der CT- oder MRT Bildgebung, äußern sich Hygrome oft als flüssigkeitsgefüllte Räume, die ähnlich wie chronische Subduralhämatome aussehen.
CT
In der CT Bildgebung sind Hygrome typischerweise als hypodense Bereiche sichtbar


MRT
In der MRT bieten sie ein etwas anderes Bild, abhängig von der spezifischen Zusammensetzung der Flüssigkeit und den verwendeten Sequenzen. Die genaue Unterscheidung zwischen einem subduralen Hygrom und einem chronischen Subduralhämatom kann jedoch schwierig sein, da beide Krankheitsbilder in der Bildgebung sehr ähnlich aussehen können.
Behandlung
Die Behandlung eines Hygroms hängt von seiner Ursache und Größe ab. In einigen Fällen kann eine konservative Behandlung ausreichen, bei der das Hygrom im Laufe der Zeit von selbst resorbiert wird. In anderen Fällen, insbesondere wenn das Hygrom Symptome verursacht oder an Größe zunimmt, kann eine chirurgische Intervention notwendig sein.