Cisterna laminae terminalis

Zuletzt bearbeitet von Alaric Steinmetz am

Synonyme: Cistern of lamina terminalis

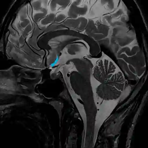
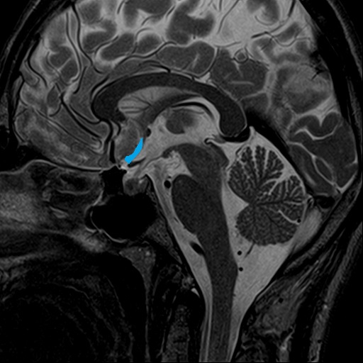
Die Cisterna laminae terminalis ist eine mit Liquor gefüllte Zisterne des Gehirns.

Anatomie

Die Cisterna laminae terminalis befindet sich zwischen dem Genu corporis callosi und oberer Chiasmafläche. Die Cisterna laminae terminalis steht mit der Cisterna chiasmatica, der Cisterna olfactoria und der Cisterna pericallosa in Verbindung. In manchen Fällen kann die Cisterna laminae terminalis von der Cisterna chiasmatica durch ein Septum getrennt sein[^1]. In der Cisterna laminae terminalis verläuft die Arteria cerebri anterior und die Arteria communicans anterior samt den Arteriae centrales anteromediales[^1].

Bildgebung

Cisterna laminae terminalis
Darstellung der Cisterna laminae terminalis (in blau markiert) in einer sagittalen T2 MRT Bildsequenz.