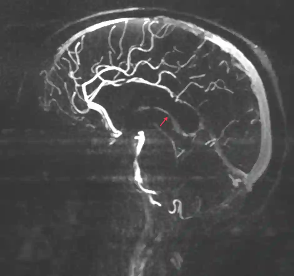
Vena cerebri interna
Zuletzt bearbeitet von Alaric Steinmetz am
Synonyme: Internal cerebral vein
ICD-11: XA6DC3
Die Vena cerebri interna ist eine paarige tiefe Hirnvene, welche in die Vena cerebri magna mündet.
Anatomie
Die Vena cerebri interna entspringt aus multiplen venösen Zuflüssen im Bereich des Foramen Monroi und verläuft nach posterior im Dach des dritten Ventrikels überhalb der Striae medullaris thalami zwischen den beiden Schichten der Tela choroidea. Die anterioren Anteile der Vena cerebri interna verlaufen parallel nebeneinander neben der Mittellinie. Nach posterior divergieren sie, um entlang der superolateralen Oberfläche der Glandula pinealis zu verlaufen. Weiter posterior, unterhalb des Splenium des Corpus callosum, konvergieren die beiden Vena cerebri internae und fließen, nach Verlassen des Velum interpositum in der Cisterna quadrigeminalis, in die Vena cerebri magna[^1].
Klinische Relevanz
Ein Verschluss der Vena cererbi interna (z.b. durch eine Thrombose oder chirurgisch) kann schwerwiegende klinische Konsequenzen haben und zu venösen Infarkten führen[^2].
Abbildung





Bildgebung
