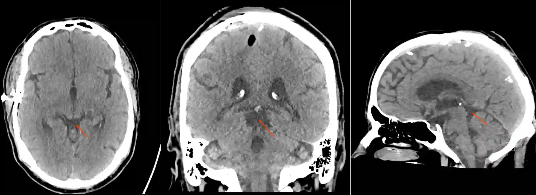
Cisterna quadrigeminalis

Zuletzt bearbeitet von Alaric Steinmetz am

Die Cisterna quadrigeminalis ist eine Erweiterung des Subarachnoidalraums, welche die Vierhügelplatte umgibt.

Anatomie

In der Cisterna quadrigeminalis verläuft die Galen Vene, der Ursprung des Nervus trochlearis und die Glandula pinealis[^1]. Angrenzend an die Cistera quadrigeminalis befinden sich die Cisterna cerebelli superior, die Cisterna ambiens und die Cisterna pericallosa[^1].

Bildgebung

CT Cisterna quadrigeminalis
Darstellung der Cisterna quadrigeminalis in verschiedenen Ebenen im CT.