Der Sinus frontalis ist ein paarig angelegter, mit Schleimhaut ausgekleidete Hohlraum im Os frontale und zählt zu den Nasennebenhöhlen.
Entwicklung
Der Sinus frontalis beginnt sich ab dem zweiten Lebensjahr zu entwickeln und ist ab dem 8. Lebensjahr radiologisch sichtbar.
Anatomie
Der Sinus frontalis ist mit respiratorischem Epithel ausgekleidet. Medial drainiert er über den Ductus frontonaslis und nach lateral drainiert der Sinus frontalis in den Meatus nasi medius. Der Sinus frontalis reicht im Erwachsenen im Durchschnitt 2,8 cm nach superior vom Nasion und im Regelfall maximal 5 mm lateral der Mediopupillarlinie[^2].
Bildgebung
Ansicht des Sinus frontalis eines gesunden Erwachsenen in allen drei Ebenen im CT.
Klinische Relevanz
Frakturen des Sinus frontalis
Frakturen der posterioren Wand des Sinus frontalis können verzögert zu einem intrakraniellen Abszess, Liquorfistel mit folglicher Meningitis oder auch einer Mukozele führen[^1].
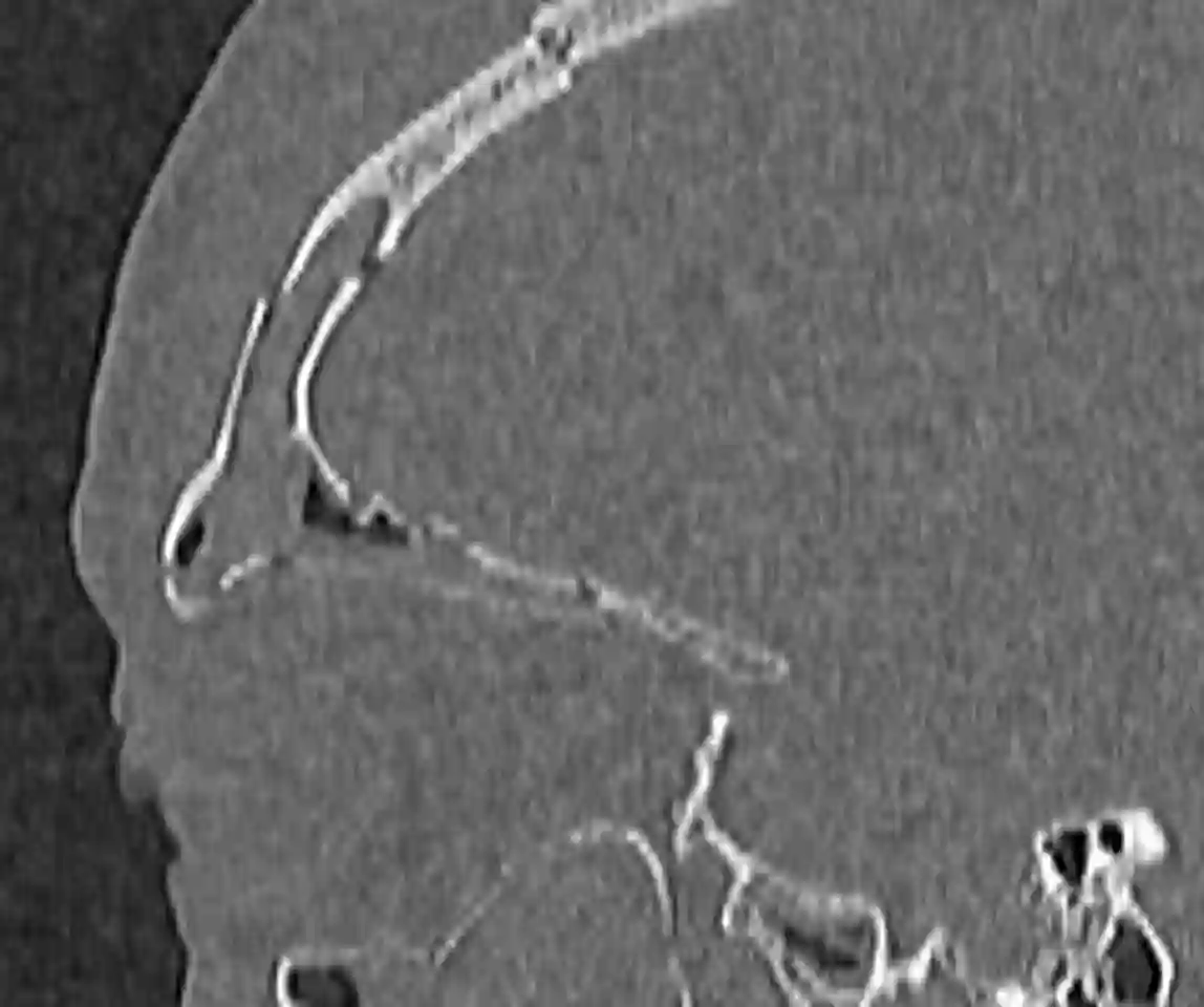
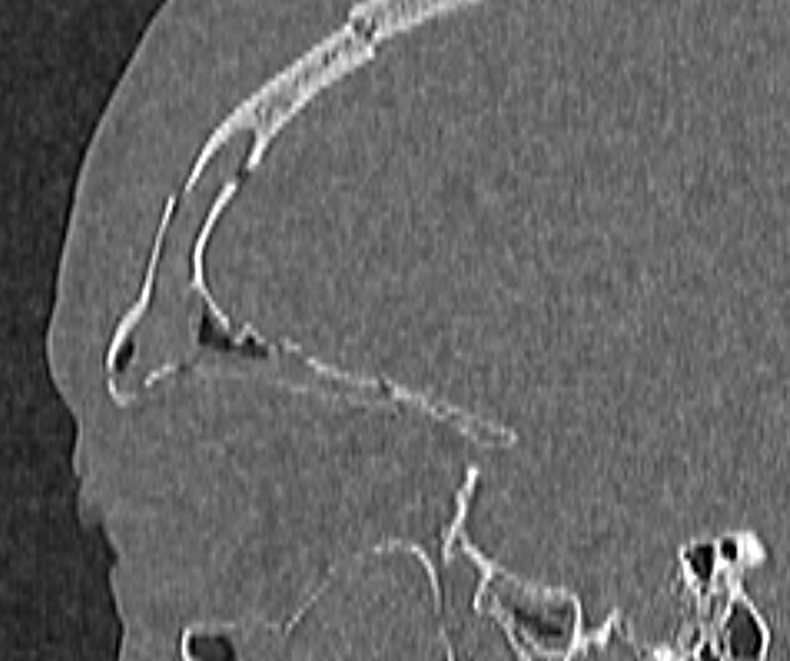
Sagittales CT Bild einer traumatischen Sinus frontalis Fraktur mit Beteiligung der Vorder- als auch Hinterwand.
Kranialisierung des Sinus frontalis
Bei einer Kranialisierung des Sinus frontalis sollte die Mukosa des Sinus frontalis abgetragen werden und der Sinus frontalis mit beispielsweise Fettgewebe oder Muskel verschlossen werden[^4]. Zum eine zusätzliche Schutzschichte zu schaffen, kann beispielsweise ein gestielter Lappen aus Galae aponeurotica verwendet werden[^3].
Sinus frontalis im CT
Ansicht des Sinus frontalis eines gesunden Erwachsenen in allen drei Ebenen im CT.
Sinus frontalis Fraktur
Sagittales CT Bild einer traumatischen Sinus frontalis Fraktur mit Beteiligung der Vorder- als auch Hinterwand.