Mukozele

Zuletzt bearbeitet von Alaric Steinmetz am

Synonyme: Mucocele

Unter einer Mukozele versteht man eine Ansammlung von Schleim (Mucus) im Gewebe, die durch eine Abflussbehinderung von Sekreten zustande kommt.

Bildgebung

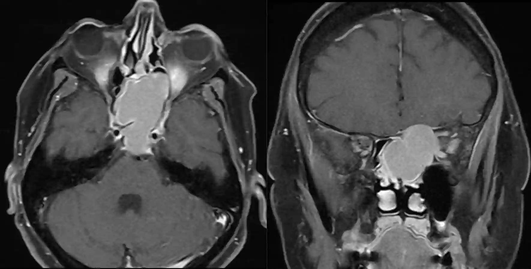
Mukozele im MRT
T1 mit Kontrastmittel MRT Bild eines Patienten mit einer Mukozele mehrere Jahre nach einem Schädel-Hirn-Trauma.