Cisterna cerebellomedullaris

Zuletzt bearbeitet von Alaric Steinmetz am

Synonyme: Cisterna magna

Die Cisterna cerebellomedullaris, welche auch als Cisterna magna bezeichnet wird, ist zwischen Cerebellum und der Dorsalfläche der Medulla oblongata lokalisiert. Sie erhält den Liquor aus dem 4. Hirnventrikel und über die Apertura lateralis und die Apertura mediana. In der Cisterna cerebellomedullaris befinden sich Äste der PICA und Venen[^1].

Abbildung

Sagittalschnitt Cisternen
Sagittale Darstellung des Hirnstamms und Cerebellums. Abbildung adaptiert von Grays Anatomy.

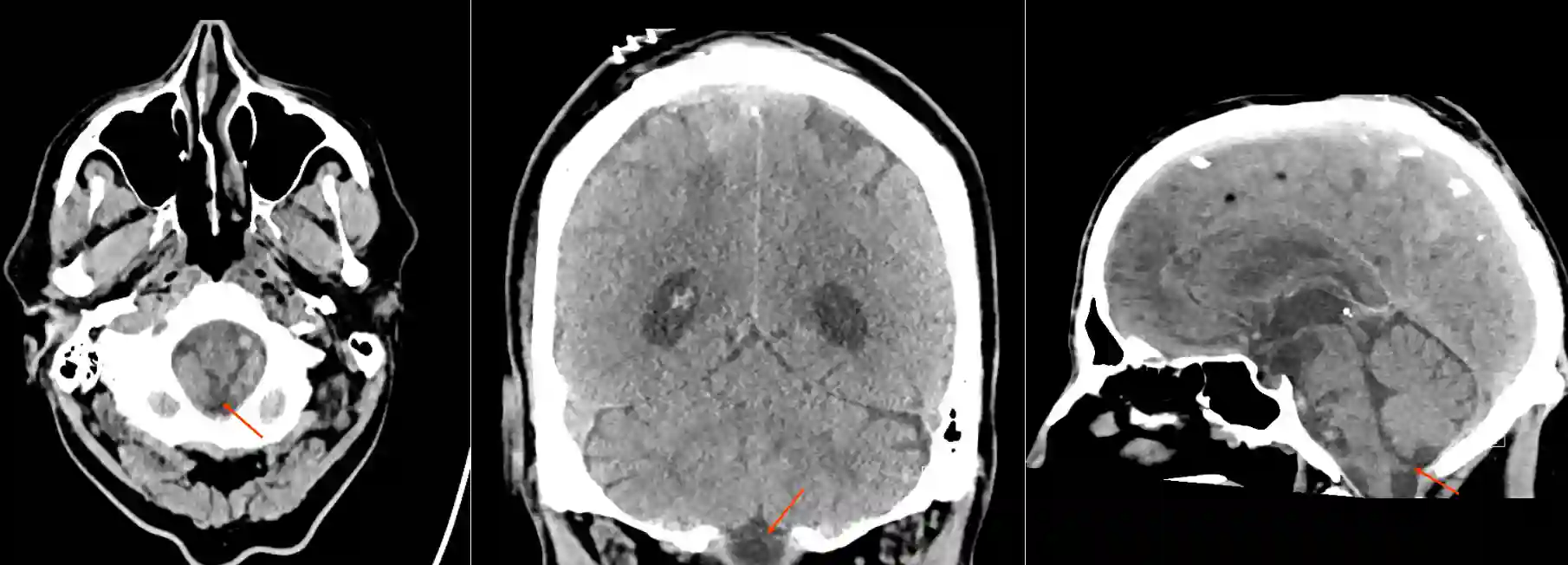
Bildgebung

Cisterna cerebellomedullaris
Darstellung der Cisterna cerebellomedullaris (Cisterna magna) in der verschiedenen Ebenen in einer CT-Bildgebung des Schädels.