Anterior Cervical Discectomy and Fusion (ACDF)
Zuletzt bearbeitet von Alaric Steinmetz am
Synonyme: ACDF
Die anteriore zervikale Diskektomie und Fusion (ACDF) ist ein etabliertes Verfahren in der Behandlung von Erkrankungen der Halswirbelsäule, wie Bandscheibenvorfällen, Spinalkanalstenosen oder fortgeschrittener degenerativer Bandscheibenerkrankung. Dieses Verfahren ermöglicht die Entfernung der Bandscheibe durch einen Zugang von vorne und die anschließende Fusion des betroffenen Segments.
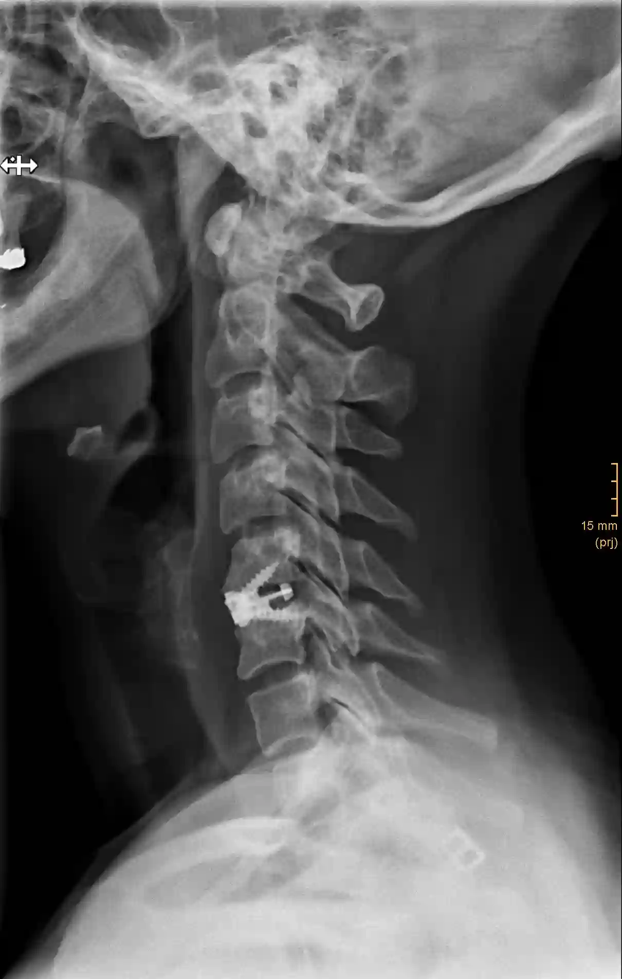
Platte
In manchen Fällen ist das zusätzliche Anbringen einer Platte sinnvoll oder auch notwendig. Beim Anbringen einer Platte sollte darauf geachtet werden, dass die Platte nicht mehr als 50 % der letzten von der Platte betroffenen Wirbelkörper abdeckt, um Anschlussosteophyten zu vermeiden[^3]

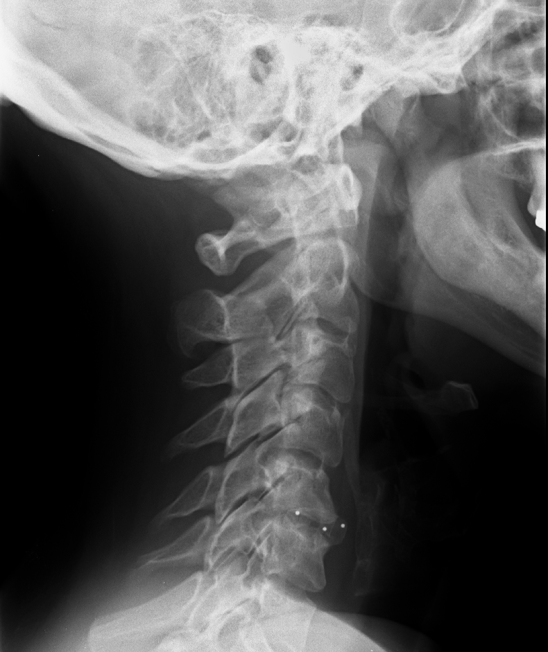
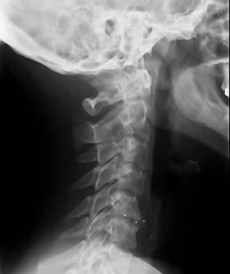
Bildgebung


Komplikationen
Die Komplikationsraten für ACDF variieren in verschiedenen Studien zwischen 13,2 % bis 19,3 %[^2]. Zu den häufigsten Komplikationen gehören:
postoperative Hämatome
Aggravierte einer Myelopathie
symptomatische Rekurrensparesen
Wundinfektionen
Aggravierte Radikulopathie
Horner-Syndrom
respiratorische Insuffizienz
Ösophagusperforation
Instrumentenversagen
Pseudarthrose tritt in Abhängigkeit von der Anzahl der fusionierten Segmente auf und reicht von 0 bis 4,3 % bei einem Segment bis zu 56 % bei vier Segmenten.
Eine der häufigsten Langzeitkomplikationen ist die Anschlussdegeneration, bei der es zu degenerativen Veränderungen in den Segmenten nahe der operierten Stelle kommt. Laut einer Studie von Hilibrand et al. (1999) beträgt das Risiko einer Anschlussdegeneration nach einer ACDF Operation etwa 2,9 % pro Jahr[^1].


