Spinalkanalstenose

Zuletzt bearbeitet von Alaric Steinmetz am

Synonyme: Wirbelkanalstenose

ICD-10: M48.0-

Als Spinalkanalstenose bezeichnet man eine Einengung des Spinalkanals.

Ätiologie

Die häufigste Ursache einer Spinalkanalstenose im höheren Alter ist eine Degeneration der Wirbelsäule. Eine Spinalkanalstenose kann im gesamten Bereich der Wirbelsäule vorkommen, ist jedoch meistens im Bereich der lumbalen oder zervikalen Wirbelsäule zu finden.

Symptome

Klinisch zeigen sich lumbale Spinalkanalstenose überwiegend durch eine typische Claudicatio spinalis symptomatisch.

Klassifikation

Bildgebend kann man zwischen einer absoluten und relativen Spinalkanalstenose unterscheiden.

Für Lumbale Spinalkanalstenosen bestehen verschiedene Klassifikationssysteme:

Bildgebung

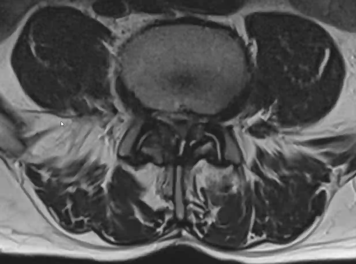
Absolute Spinalkanalstenose im MRI
Absolute Spinalkanalstenose im axialen T2 MRI Bild. Der Liquorsaum lässt sich auf diesem Bild im Spinalkanal nicht mehr abgrenzen.
Zervikale Spinalkanalstenose MRT
Abbildung einer zervikalen Spinalkanalstenose im Segment HWK5/6 in einer sagittalen T2 MRT Sequenz.