Bandscheibe

Zuletzt bearbeitet von Alaric Steinmetz am

Synonyme: Zwischenwirbelscheibe, Discus intervertebralis

Die Bandscheibe ist eine flexible, faserknorplige Struktur, die jeweils die Wirbelkörper zweier benachbarter Wirbel im Bereich zwischen dem zweiten Halswirbel und dem Kreuzbein verbindet.

Anatomie

Jede Bandscheibe wird aus einem Anulus fibrosus und einem Nucleus pulposus aufgebaut.

Aufbau Bandscheibe
Schematische Darstellung des Aufbaus einer Bandscheibe. Abbildung adaptiert von Figure 174 aus Sobottas Atlas and Text-book of Human Anatomy 1909.

Anulus fibrosus

Der Anulus fibrosus, der Faserring der Bandscheibe, besteht aus konzentrischen Schichten von kollagenen Bindegewebsfasern, die nach innen allmählich in Faserknorpel übergehen. Die vorwiegend aus Kollagen Typ 1 bestehenden Fasern weisen gegenläufige Steigungswinkel auf. Die sich überkreuzenden Bindegewebsfasern der äußeren Zone heften sich an den Randleisten der Wirbelkörper an[^1].

Nucleus pulposus

Der Nucleus pulposus ist ein zellarmes gallertiges Gewebe, welches 80–85 % Wasser enthält. Es enthält wenige Fibroblasten und Typ-2-Kollagen.

Bildgebung

Die Struktur einer Bandscheibe lässt sich optimal in der MRT Bildgebung darstellen.

Lumbale Bandscheiben im MRT
Darstellung der Bandscheiben der lumbalen Wirbelsäule in einem sagittalen MRT Bild
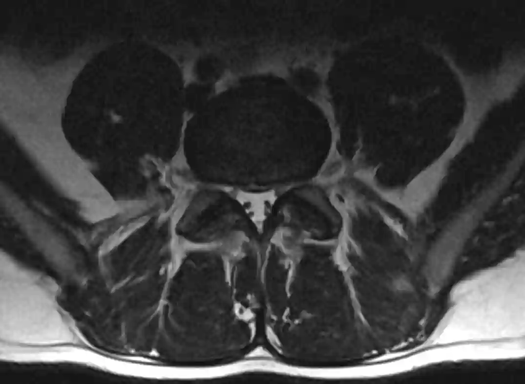
Riss im Anulus Fibrosus der Bandscheibe
Medianer Riss im Anulus fibrosus einer lumbalen Bandscheibe im axialen MRT in einer T2 Sequenz.s