Bei einem Ventrikuloatrialen Shunt (VA-Shunt) wird eine permanente Verbindung zwischen dem Liquorsystem und dem Herzvorhof hergestellt[^1] und dient der Sicherstellung der Liquorableitung beim Vorliegen einer Liquorzirkulationsstörung wie beispielsweise bei einem Hydrocephalus.
Operation
Bei der Operation wird der proximale Katheter in das Ventrikelsystem implantiert und der distale Anteil wird über die Vena jugularis interna bis in den rechten Vorhof des Herzens vorgeschoben. Die Anlage eines VA-Shunts ist eine seltene Alternative zum Ventrikulo-peritonealen Shunt (VP-Shunt) und wird meistens dann gewählt, wenn eine Implantation im Abdomen ungünstig oder nicht möglich ist.
Infektionsrisiko
In einer Studie bei Kindern konnte zeigen, dass VA-Shunts im Vergleich zu VP-Shunts signifikant weniger Infektionen haben. Die Patienten mit dem VP-Shunt zeigten in dieser Studie jedoch insgesamt eine bessere Überlebensrate[^2].
Abbildung
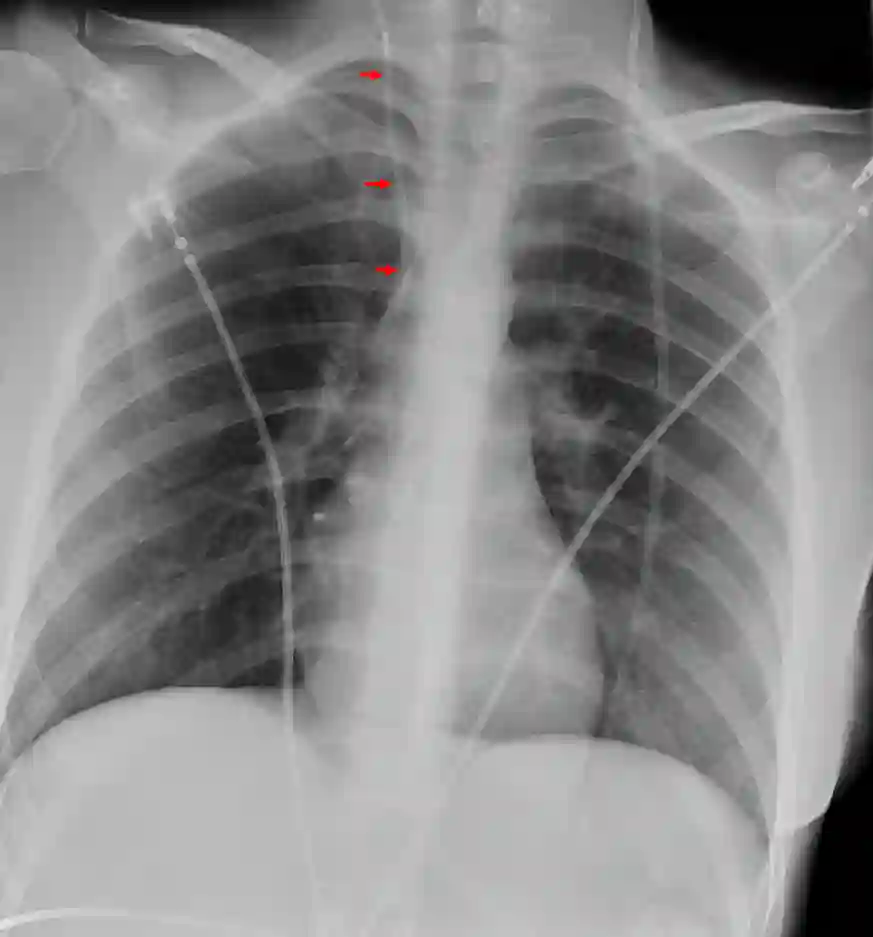
Anatomische Zeichnung eines Patienten mit einem ventrikulo-atrialen Shuntsystems. Abbildung adaptiert von Pudenz et al. 1966 JNS.Thoraxröntgen mit Darstellung eines VA-Shunts im Röntgenbild (roter Pfeil).
Schematische Darstellung VA-Shunt
Anatomische Zeichnung eines Patienten mit einem ventrikulo-atrialen Shuntsystems. Abbildung adaptiert von Pudenz et al. 1966 JNS.
Röntgenbild eines VA-Shunts
Thoraxröntgen mit Darstellung eines VA-Shunts im Röntgenbild (roter Pfeil).