Platybasie

Zuletzt bearbeitet von Alaric Steinmetz am

Synonyme: Platybasia

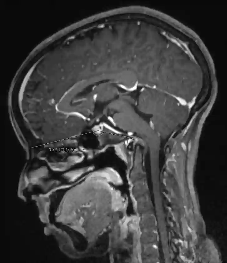
Als Platybasie bezeichnet man eine Abflachung der Schädelbasis, welche durch einen Winkel zwischen Clivus und vorderer Schädelgrube von mehr als  140 Grad definiert ist1.

Messung

Zur Messung wird der Welcher-Basal Winkel verwendet. Dieser Winkel ist definiert als Winkel zwischen einer Linie vom Nasion zum Tuberculum sellae und einer Linie vom Tuberculum sellae zum Basion2. Dieser Winkel beträgt im Durchschnitt 132° und gilt unter 140° als normal3.

Abbildung

Abbildung Winkel Platybasie
Schematischer Abbildung des Winkels zur Bestimmung einer Platybasie.

Bildgebung

MRT Platybasie
MRT Abbildung eines Patienten mit einer Platybasie und abgemessenem Winkel.

Klinische Relevanz

Eine isolierte Platybasie ist ohne sicheren Krankheitswert4 jedoch tritt eine Platybasie gehäuft zusammen mit einer basilären Invagination oder basilären Impression auf5. Dies kann dann zu kompressionsbedingten neurologischen Defiziten und occipitalen Kopfschmerzen führen6.

Referenzen