Meatus acusticus internus

Zuletzt bearbeitet von Alaric Steinmetz am

Synonyme: IAM, Internal Acoustic Meatus

ICD-11: XA6ZY7

Der Meatus acusticus internus verläuft im Os temporale und ist Teil des Innenohrs.

Anatomie

Insgesamt erstreckt sich der Meatus acusticus internus etwa 1 cm lang im Os temporale. Der Meatus acusticus internus mündet über den Porus acusticus internus in die hintere Schädelgrube. Im Meatus acusticus internus verlaufen folgende anatomisch relevante Strukturen:

Abbildung

Schematische Darstellung der anatomischen Strukturen im Meatus acusticus internus
Schematische Darstellung der anatomischen Strukturen im Meatus acusticus internus mit Darstellung der Crista transversa. Abbildung adaptiert von A. Rhoton.
Retrosigmoidale Kraniotomie
Darstellung des Nervus vestibulocochlearis (CN VIII) als auch des Meatus acusticus internus bei einem retrosigmoidalen Zugang. Der Nervus facialis wird vom Nervus vestibulocochlearis verdeckt und ist nicht sichtbar.

Bildgebung

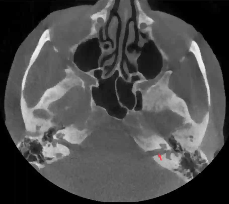
Meatus actusticus internus im CT
Darstellung des Meatus acusticus internus (roter Pfeil) in einem axialen CT Bild.
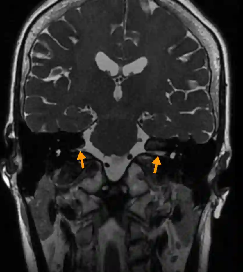
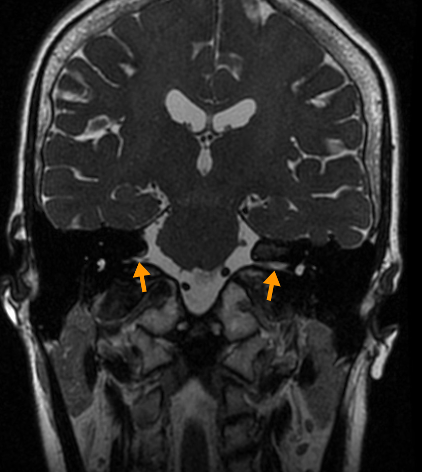
Meatus acusticus internus coronales MRT
Darstellung des Meatus acusticus internus (oranger Pfeil) in einem coronaren MRT T2 Bild des Neurokraniums.