Maligner Mediainfarkt
Zuletzt bearbeitet von Alaric Steinmetz am
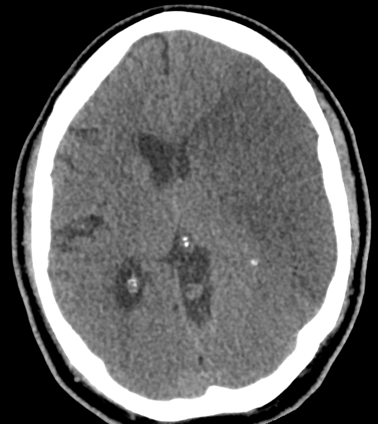
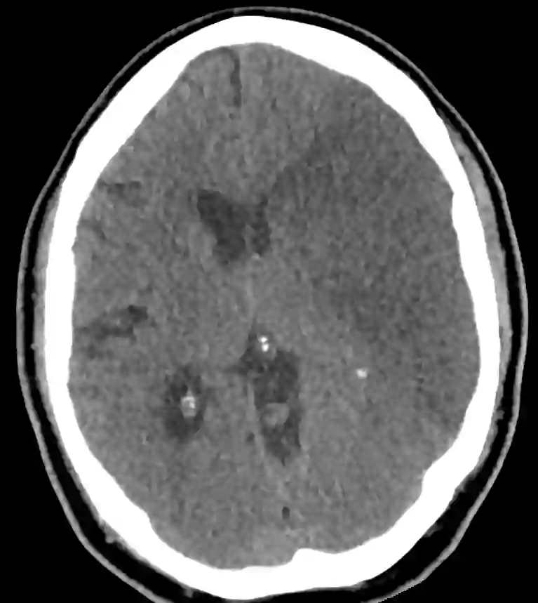
Unter einem malignen Mediainfarkt versteht man ein proximalen Verschluss der Arteria cerebri media, welcher zu einem großvolumigen Infarktareal im Mediastromgebiet führt. Das hierbei entstehende Hirnödem kann bis zur Herniation führen, was zur Bezeichnung eines malignen Infarkts führt.
Bildgebung
Chirurgische Therapie
Eine therapeutische Option ist die dekompressive Hemikraniektomie als entlastende Therapie1. Sollte sich für eine chirurgische dekompressive Therapie entschieden werden, zeigt die aktuelle Datenlage bei einer raschen chirurgischen Dekompression innerhalb von 48 Stunden ein besseres Outcome und eine reduzierte Mortalität2 3 4. Diese Datenlage beruht auf den drei randomisierten Studien zu diesem Thema: HAMLET Trial5, DECIMAL Trial6 und DESTINY Trial7.
Referenzen
Vahedi, Katayoun, et al. "Sequential-design, multicenter, randomized, controlled trial of early decompressive craniectomy in malignant middle cerebral artery infarction (DECIMAL Trial)." Stroke 38.9 (2007): 2506-2517. ↩ ↩ ↩ ↩ ↩ ↩ ↩ ↩ ↩ ↩ ↩ ↩
Hofmeijer, Jeannette, et al. "Surgical decompression for space-occupying cerebral infarction (the Hemicraniectomy After Middle Cerebral Artery infarction with Life-threatening Edema Trial HAMLET): a multicentre, open, randomised trial." The Lancet Neurology 8.4 (2009): 326-333 ↩ ↩ ↩ ↩ ↩ ↩ ↩ ↩
Jüttler, Eric, et al. "Decompressive surgery for the treatment of malignant infarction of the middle cerebral artery (DESTINY) a randomized, controlled trial." Stroke 38.9 (2007): 2518-2525 ↩ ↩ ↩ ↩ ↩ ↩ ↩ ↩