Ein Hirnödem ist eine Schwellung des Gehirns, welche unterschiedliche Ursachen haben kann. Durch die somit resultierende Volumenzunahme kann es zu einem Anstieg des Hirndrucks mit bis zu tödlichem Ausgang kommen.
Einteilung
Bei einem Hirnödems wird ursächlich zwischen einem zytotoxischem und einem vasogenem Hirnödem unterschieden. Bezüglich der Lokalisation unterscheidet man zwischen einem fokalen Hirnödem, welches beispielsweise rund um Tumore vorkommen kann und einem generalisiertes Hirnödem, welches das ganze Gehirn betrifft. Ein generalisiertes Hirnödem kann etwa Folge eines Schädel-Hirn-Traumas sein.
Bildgebung
Ein Hirnödem lässt sich in der CT als auch MRT Bildgebung darstellen, wobei die MRT Bildgebung eine genauere Beurteilung des Hirnödems zulässt.
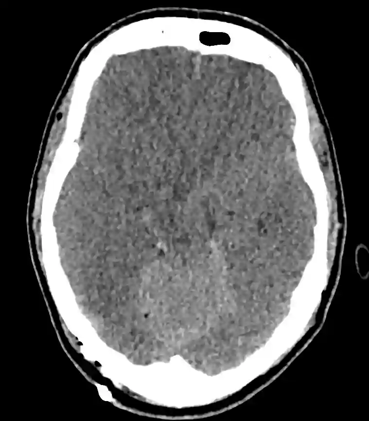
Axiales CT Bild eines Patienten mit einem generalisierten Hirnödem, verstrichenen Rinden-Markgrenzen und verstrichenen basalen Zisternen.
Generalisiertes Hirnödem CT
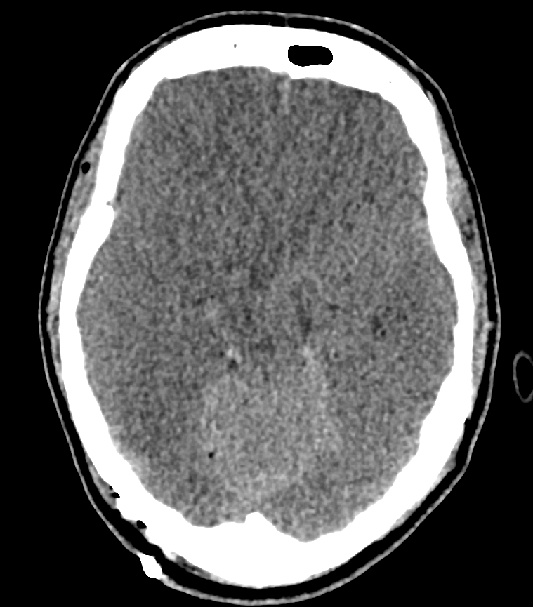
Axiales CT Bild eines Patienten mit einem generalisierten Hirnödem, verstrichenen Rinden-Markgrenzen und verstrichenen basalen Zisternen.